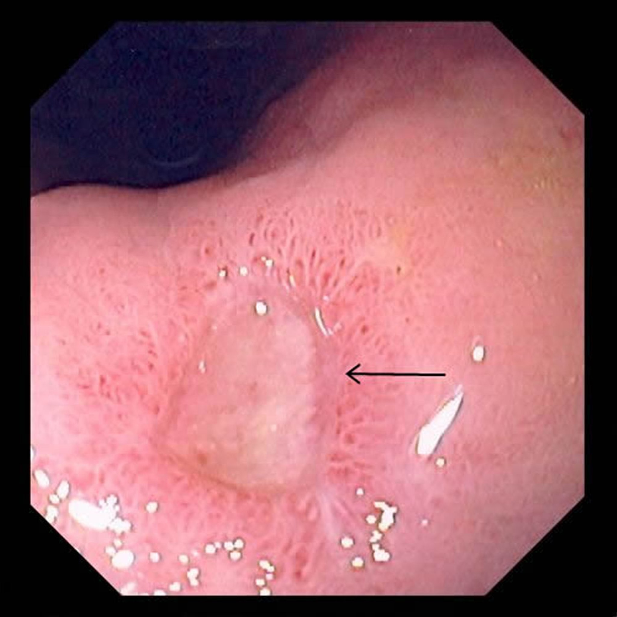
Язва желудка
На данной фотографии представлена большая язва (стрелка) в желудке.
Фотография предоставлена д-ром Дэвидом М. Мартином (David M. Martin, MD).
На данной фотографии представлена большая язва (стрелка) в желудке.
Фотография предоставлена д-ром Дэвидом М. Мартином (David M. Martin, MD).