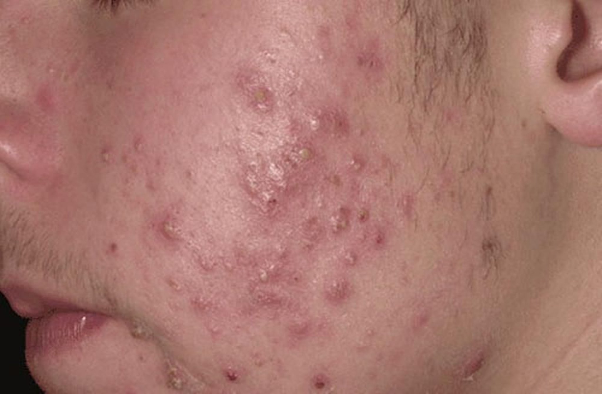
Пустулы
Пустулы представляют собой возвышающиеся над кожей очаги, как правило, желтого цвета, содержащие гной. Отдельные пустулы видны на лице этого человека, страдающего акне.
Фотография предоставлена д-ром Томасом Хабифом (Thomas Habif).
По этим темам
