Перелом средней части бедра
На этом изображении показана бедренная кость, которая сломана более чем в двух местах (оскольчатый перелом).
Изображение любезно предоставлено д-ром Даниэллой Кампань (Danielle Campagne).
По этим темам
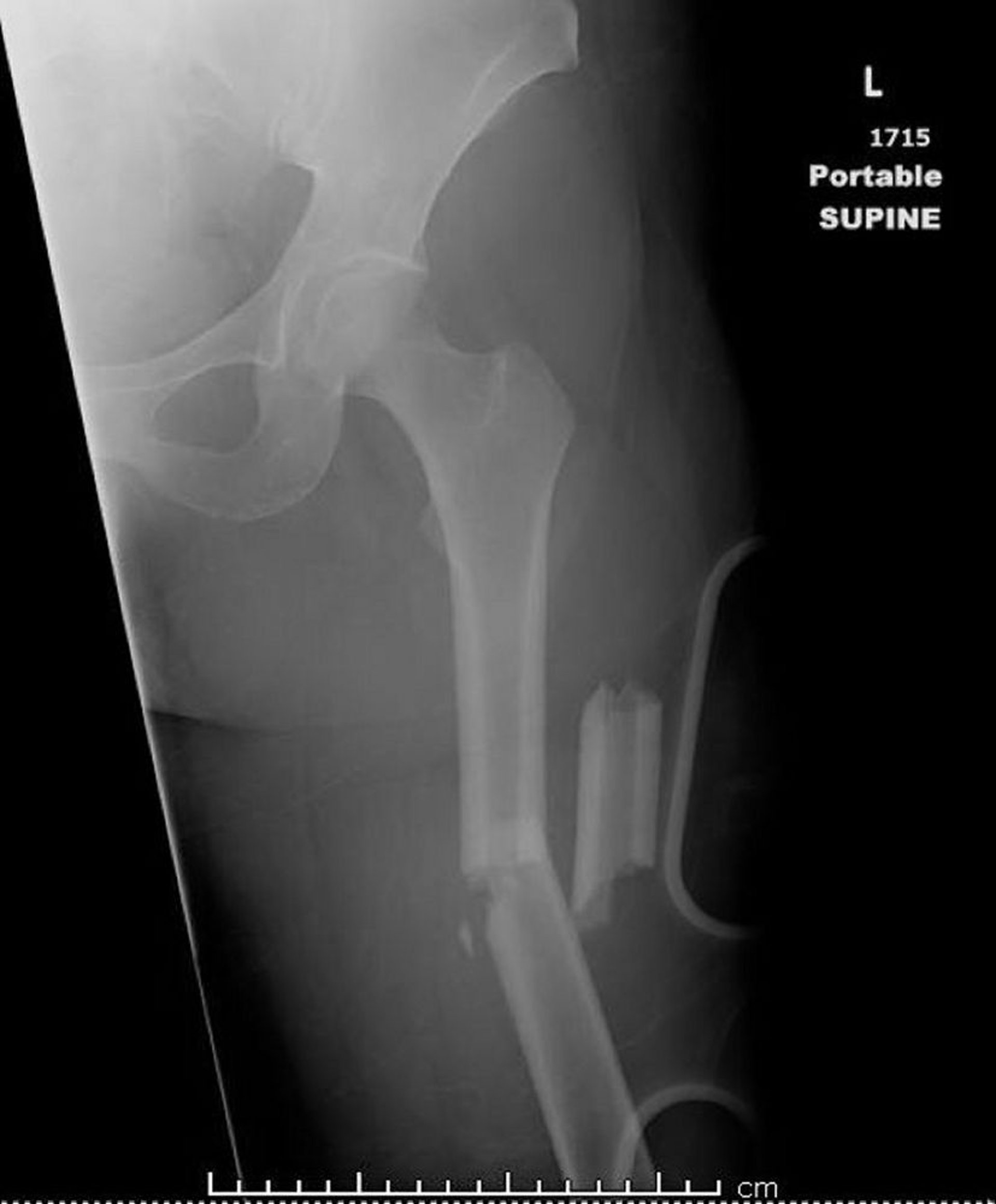
На этом изображении показана бедренная кость, которая сломана более чем в двух местах (оскольчатый перелом).
Изображение любезно предоставлено д-ром Даниэллой Кампань (Danielle Campagne).