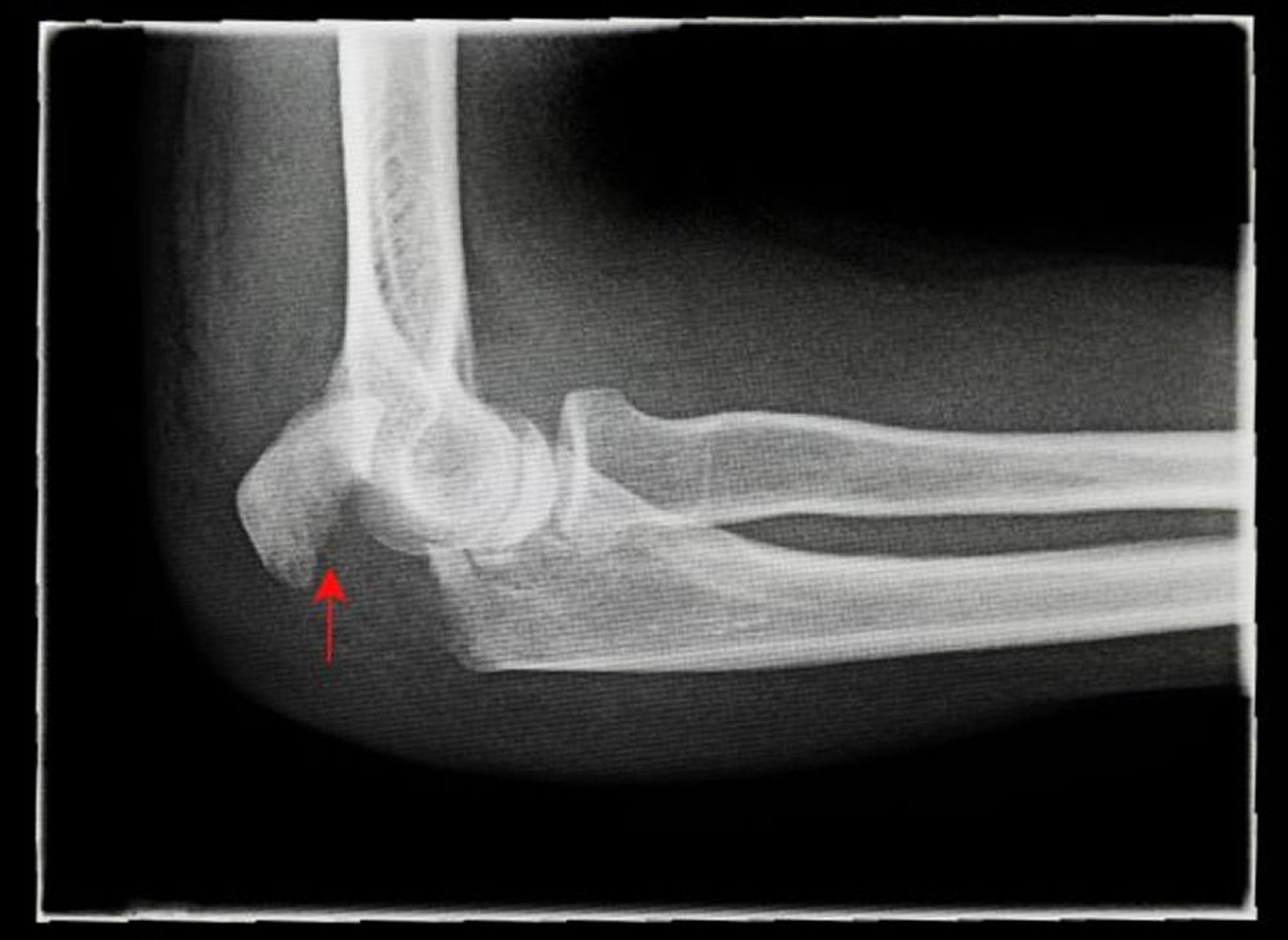
Перелом локтевого отростка со смещением
На этой рентгенограмме показана боковая (латеральная) проекция перелома локтевого отростка со смещением (стрелка).
АНТОНИЯ РИВ (ANTONIA REEVE)/SCIENCE PHOTO LIBRARY
По этим темам
На этой рентгенограмме показана боковая (латеральная) проекция перелома локтевого отростка со смещением (стрелка).
АНТОНИЯ РИВ (ANTONIA REEVE)/SCIENCE PHOTO LIBRARY