Остеохондрома колена
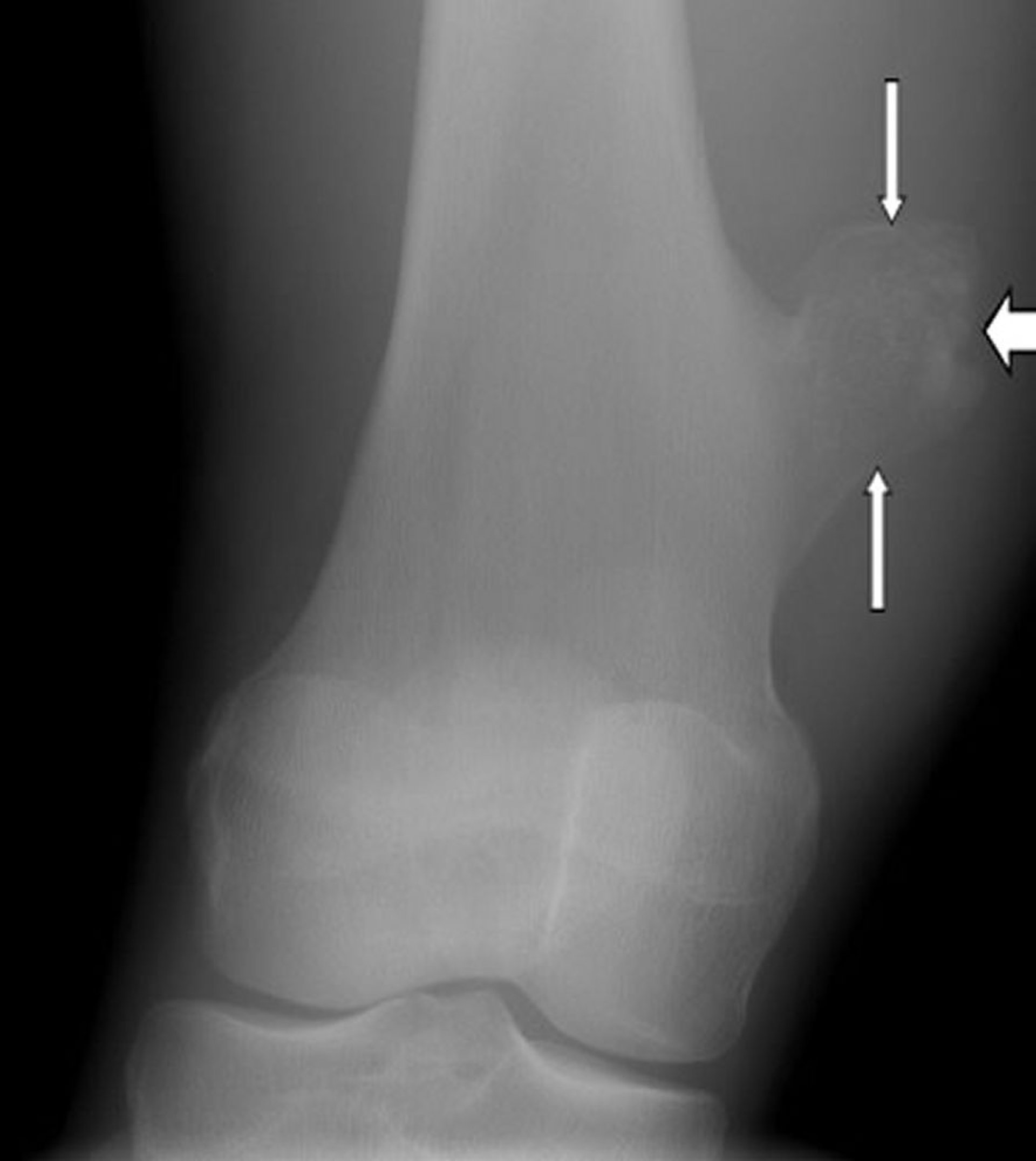
На этой рентгенограмме колена показана остеохондрома в виде новообразования на поверхности бедренной кости (стрелки) выше коленного сустава.
Изображение любезно предоставлено д-ром Майклом Дж. Джойсом (Michael J. Joyce) и д-ром Хаканом Иласланом (Hakan Ilaslan).
По этим темам
