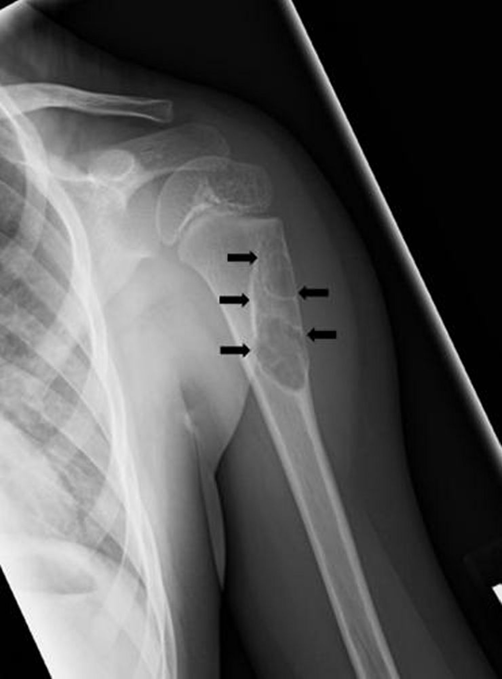
Однокамерная костная киста
На этой рентгенограмме показана простая однокамерная костная киста (стрелки) в плечевой кости.
Изображение любезно предоставлено д-ром Майклом Дж. Джойсом (Michael J. Joyce) и д-ром Хаканом Иласланом (Hakan Ilaslan).
По этим темам
