Костная саркома Юинга
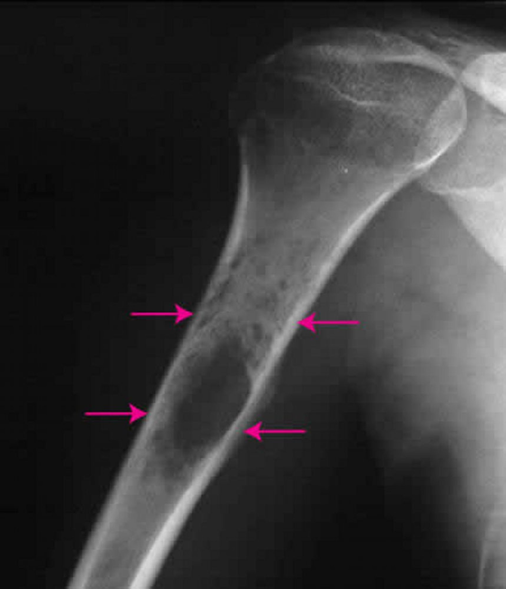
На этой рентгенограмме плеча показана саркома Юинга (стрелки) внутри плечевой кости.
Изображение любезно предоставлено д-ром Майклом Дж. Джойсом (Michael J. Joyce) и д-ром Хаканом Иласланом (Hakan Ilaslan).
По этим темам
На этой рентгенограмме плеча показана саркома Юинга (стрелки) внутри плечевой кости.
Изображение любезно предоставлено д-ром Майклом Дж. Джойсом (Michael J. Joyce) и д-ром Хаканом Иласланом (Hakan Ilaslan).