honeypot link
Предоставлено Вам
This site is not intended for use in the Russian Federation
skip to main content
Профессиональная
Пользователь или пациент
Справочник Msd
Пользовательская версия
РАЗДЕЛЫ МЕДИЦИНЫ
ЗДОРОВЫЙ ОБРАЗ ЖИЗНИ
СИМПТОМЫ
ЭКСТРЕННЫЕ СЛУЧАИ
ИСТОЧНИКИ
О НАС
РАЗДЕЛЫ МЕДИЦИНЫ
<
Изображения
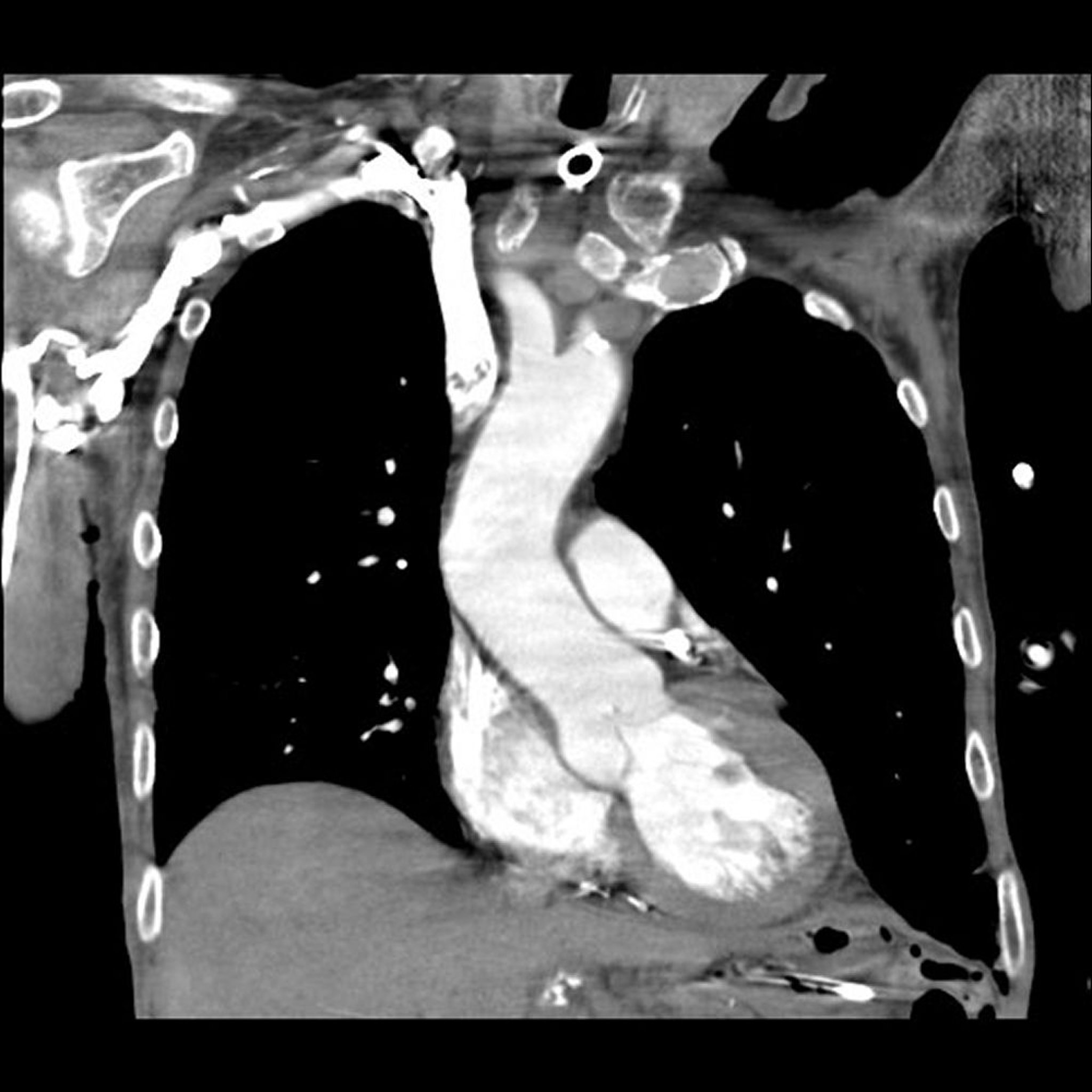
Компьютерная ангиография (КТ-ангиография) легочной артерии
Снимок предоставлен д-ром Мехметом Коцак (Mehmet Kocak).
По этим темам
Компьютерная томография (КТ)
>