Предоставлено Вамmsd logo
This site is not intended for use in the Russian Federation

Полости

Проверено/пересмотрено мар. 2024 | Изменено июл. 2025
v34376601_ru
Просмотреть профессиональную версию
Узнайте все подробности

Твердая внешняя поверхность зубов называется эмалью. Пульпа находится глубоко внутри зуба и содержит кровеносные сосуды и нервы. Бактерии могут повредить различные части зуба.

Что такое полости?

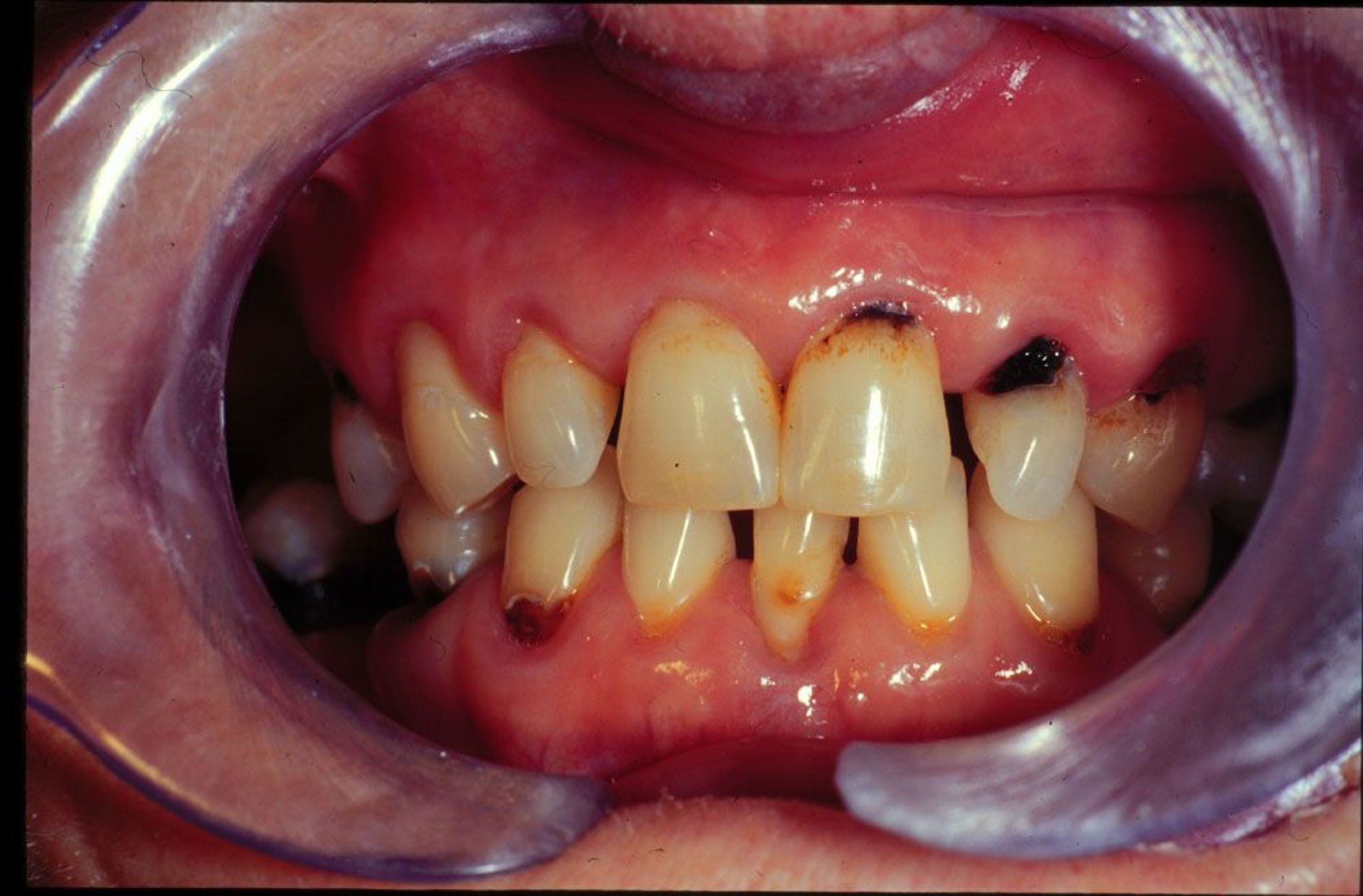
Полости образовываются в результате разрушения зуба.

  • Бактерии размножаются на зубной эмали и выделяют кислоты, которые вызывают отверстия в зубе; эти отверстия называются полостями

  • Зубная боль возникает, когда полости увеличиваются и проходят через эмаль во внутреннюю часть зуба

  • Стоматологи ищут полости, осматривая зубы и делая рентгеновские снимки

  • Лечение включает высверливание разрушенной части и заполнение отверстия

  • Регулярно чистите зубы, проходите стоматологические осмотры и не ешьте продуктов, содержащих большое количество сахара, для предотвращения появление полостей

Анатомия зуба

Что вызывает появление полостей?

Бактерии размножаются на зубах и выделяют кислоту, которая вызывает разрушение зубов.

Бактерии, слюна и кусочки пищи образуют тонкий слой, называемый зубным налетом, который пристает к зубам. Зубной налет затвердевает с течением времени и превращается в зубной камень. Зубной камень обычно желтый. Иногда его можно увидеть у основания зубов. От бактерий, живущих на зубном налете и зубном камне, трудно избавиться.

Бактерии питаются сахаром. Вот почему сладкие продукты и напитки могут приводить к разрушению зубов. Количество сахара, которое человек употребляет, менее важно, чем частота его употребления. Главным фактором является время, в течение которого сахар контактирует с зубами. Употребление безалкогольного напитка небольшими глотками в течение часа становится более разрушительным, чем шоколадный батончик, съеденный за 5 минут, несмотря на то, что он может содержать больше сахара. Дети, засыпающие с бутылочкой, даже если в ней находится только молоко или молочная смесь, также подвержены риску разрушения зубной эмали. Бутылочки, которые даются перед сном, должны содержать только воду.

Риск появления полостей больше:

  • при наличии в ротовой полости большого количества зубного налета и зубного камня;

  • если вы едите и пьете сладкие или кислые продукты, такие как сладкая газированная вода или сок;

  • если в зубах слишком мало фторида (минерала, который делает эмаль более твердой);

  • если во рту не хватает слюны (состояние, называемое сухость во рту);

  • при наличии атрофирующихся десен (оседания десен)

Каковы симптомы появления полостей?

Неглубокая полость в эмали не приводит к появлению боли. Полости, которые немного глубже, могут вызвать боль, когда вы едите горячую, холодную, сладкую пищу или пьете такие напитки.

Полость, которая становится достаточно глубокой и достигает пульпы, вызывает пульпит. Пульпит вызывает зубную боль, даже когда вы не едите и не пьете. При заражении пульпы можете образоваться кармашек гноя, так называемый зубной абсцесс.

Как стоматологи выявляют полости?

Стоматологи диагностируют полости следующими методами:

  • осмотр зубов и их обследование при помощи стоматологических инструментов;

  • снятие рентгеновских снимков зубов.

Как стоматологи лечат полости?

Если полость очень маленькая и затрагивает только эмаль, зуб может зажить сам при употреблении достаточного количества фтора.

Стоматологи обрабатывают полости, проникшие глубже эмали, путем сверления разложившейся части зуба и помещения пломбы. Пломбу изготавливают из:

  • серебряной амальгамы (сочетания серебра, ртути, меди, олова, а иногда и других металлов), которая часто используется в задних зубах, где она скрыта от глаз;

  • полимерного цемента, который подбирают по цвету зубов;

  • стеклоиономера, который имеет цвет зубов и высвобождает фторид. Он подходит для тех людей, у которых много зубов затронуто кариесом;

  • Золото

Лечение корневых каналов или удаление зубов

Когда полость заходит достаточно глубоко, достигая пульпы, и зуб сильно воспаляется, стоматологи назначают лекарство от боли и делают одно из двух:

  • проводят корневой канал для удаления пульпы из зуба, а затем заполняют и пломбируют зубной канал;

  • удаляют зуб, если его нельзя спасти

При наличии инфекции они также назначат антибиотики.

Как можно предотвратить появление полостей?

Предотвратить появление полостей можно:

  • чисткой зубов зубной пастой, содержащей фторид (утром, вечером и после употребления сладких продуктов);

  • ежедневной чисткой зубов;

  • получением регулярной стоматологической помощи;

  • употреблением здоровой пищи и значительным сокращением потребления продуктов и напитков, в которых много сахара или кислоты

Важно потреблять достаточное количество фтора. Фтор — это минерал, который защищает зубы от появления полостей. В некоторых регионах фтор добавляется в водопровод. Если он не содержится в вашей воде, стоматолог может назначать фторидные добавки для детей до 8 лет или назначить лечение фтором для ваших зубов.

Если у вас все еще появляется много полостей, стоматологи могут:

  • нанести герметики на зубы (герметики — это твердое пластиковое покрытие, которое предотвращает образование полостей в зубах с глубокими щелями);

  • назначить антибактериальное средство для полоскания рта, которое убивает бактерии, вызывающие полости

quizzes_lightbulb_red
Test your KnowledgeTake a Quiz!
ANDROID iOS
ANDROID iOS
ANDROID iOS