Обширные родовые травмы у новорожденных (компьютерная томография)
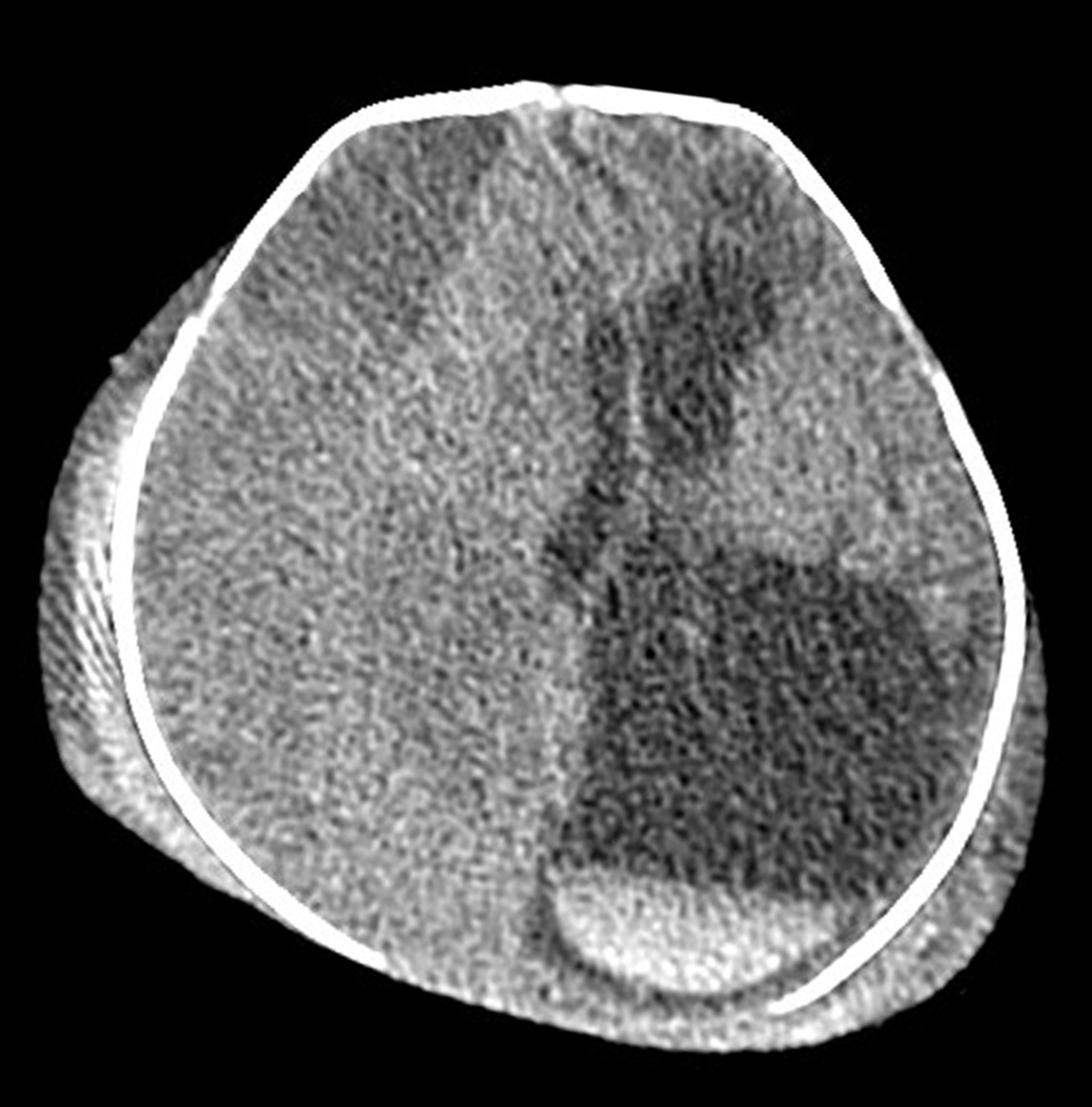
На этом аксиальном (поперечном) КТ-снимке головы новорожденного видны обширные экстракраниальные и внутричерепные повреждения, вторичные по отношению к тяжелой родовой травме. В волосистой части головы имеется двусторонний отек/гематома. Это очень большая изоденсивная (подострая) субдуральная гематома вдоль правого полушария головного мозга, являющаяся причиной развития вклинения головного мозга по средней линии. Эта гематома приводит к увеличению левого бокового желудочка. В правом нижнем углу снимка видны критические наслоения крови на дне левого бокового желудочка (белое вещество с прямой линией).
Living Art Enterprises, LLC/SCIENCE PHOTO LIBRARY
По этим темам
