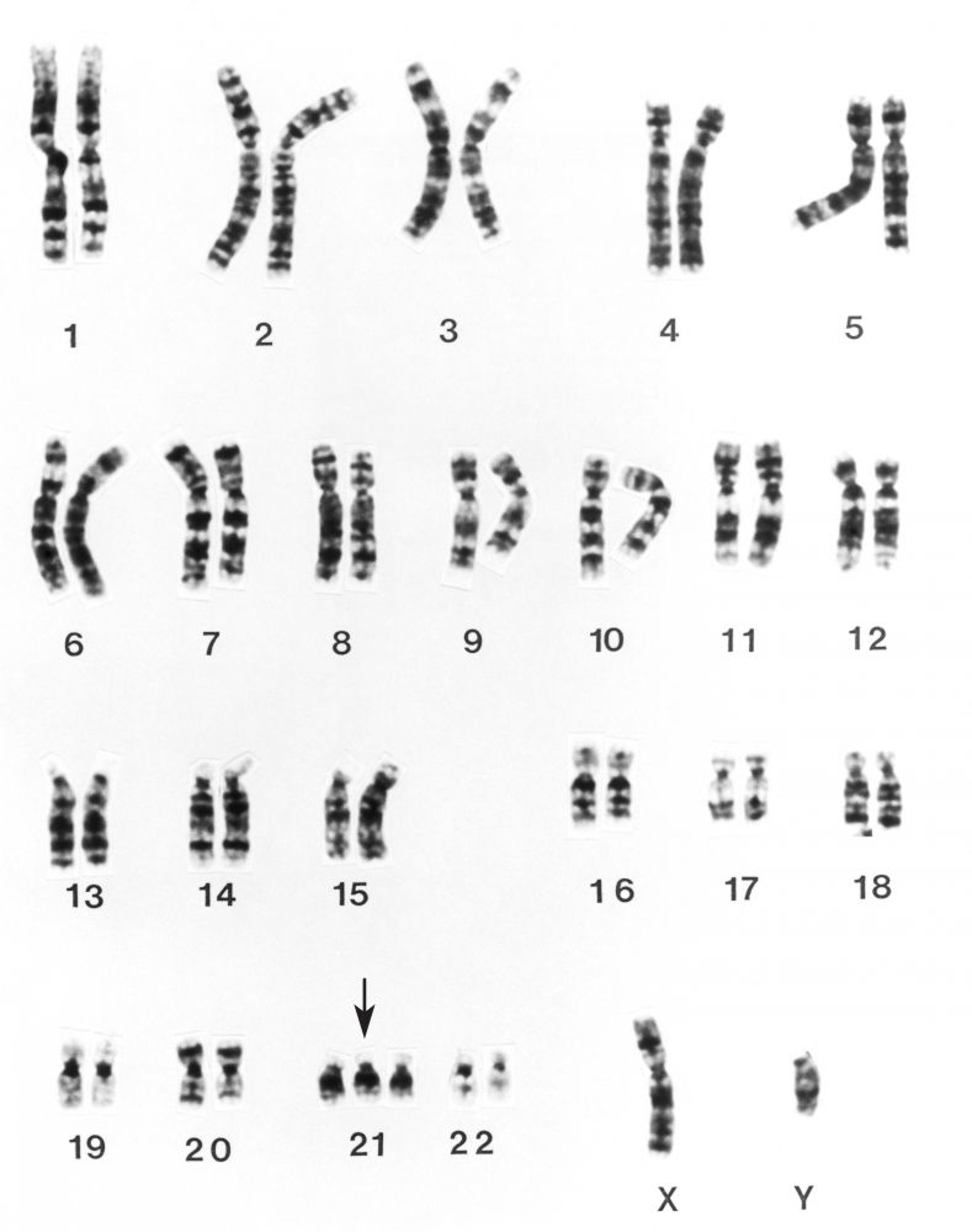
Кариотип синдрома Дауна
Синдром Дауна характеризуется наличием дополнительной 21-й хромосомы (см. стрелку).
L. WILLATT, EAST ANGLIAN REGIONAL GENETICS SERVICE/SCIENCE PHOTO LIBRARY
По этим темам
Синдром Дауна характеризуется наличием дополнительной 21-й хромосомы (см. стрелку).
L. WILLATT, EAST ANGLIAN REGIONAL GENETICS SERVICE/SCIENCE PHOTO LIBRARY