Ателектаз и Коллапс Левого Легкого (Рентген)
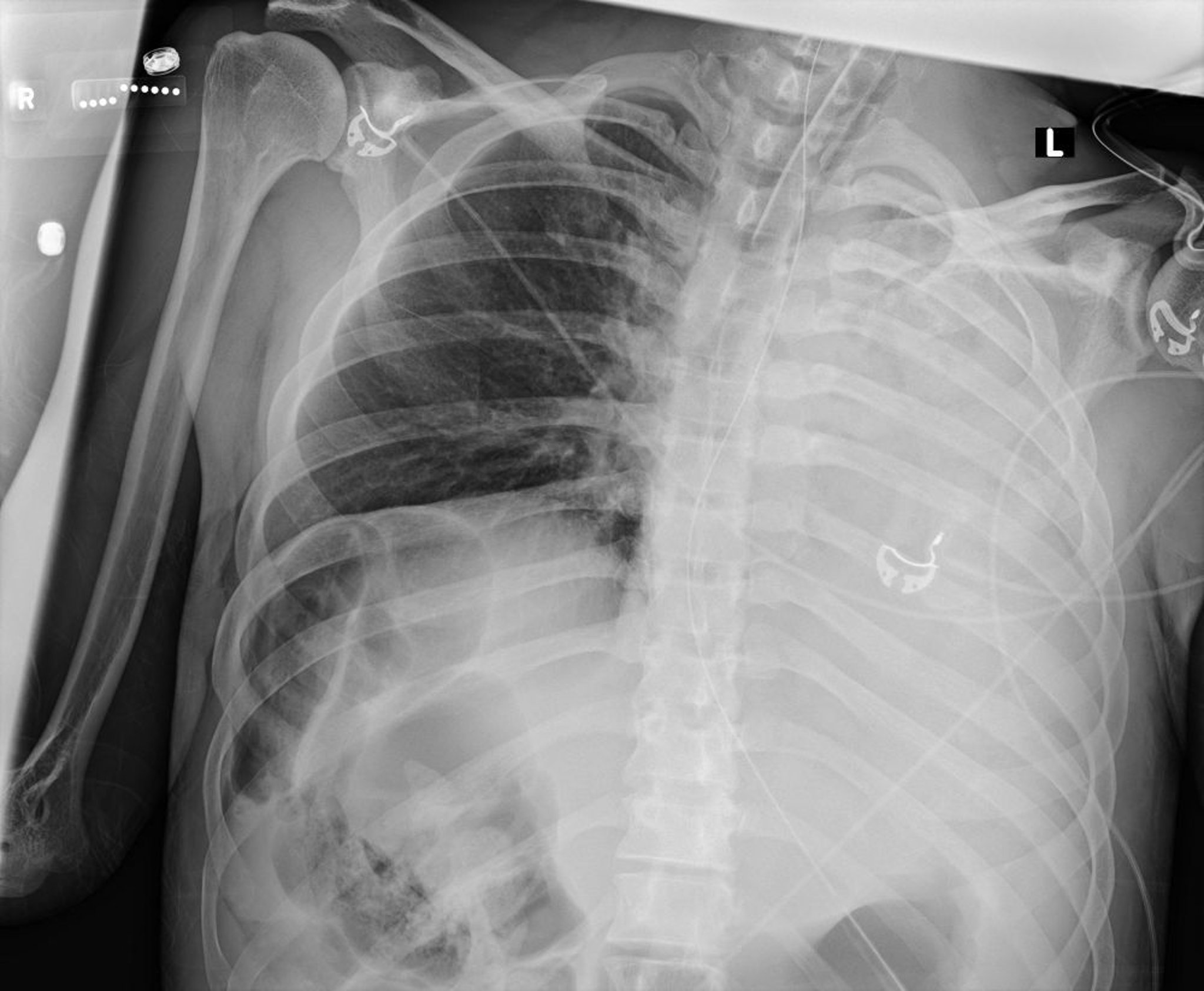
На данной рентгенограмме органов грудной клетки показан коллапс всех долей левого легкого вследствие слизистой пробки.
Courtesy of Alexander S. Niven, MD
По этим темам
На данной рентгенограмме органов грудной клетки показан коллапс всех долей левого легкого вследствие слизистой пробки.
Courtesy of Alexander S. Niven, MD