Ultrassonografia Doppler colorido
Ultrassonografia Doppler colorido da artéria carótida esquerda mostra fluxo arterial normal sem estenose significativa.
Imagem cedida por cortesia de Hakan Ilaslan, MD.
Nesses tópicos
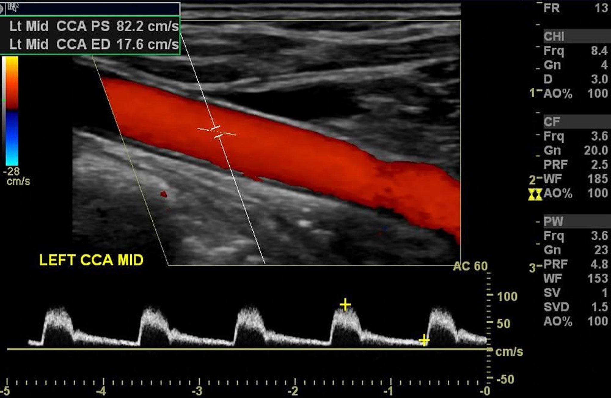
Ultrassonografia Doppler colorido da artéria carótida esquerda mostra fluxo arterial normal sem estenose significativa.
Imagem cedida por cortesia de Hakan Ilaslan, MD.