TC sem contraste do abdome e da pelve mostrando anatomia normal (lâmina 2)
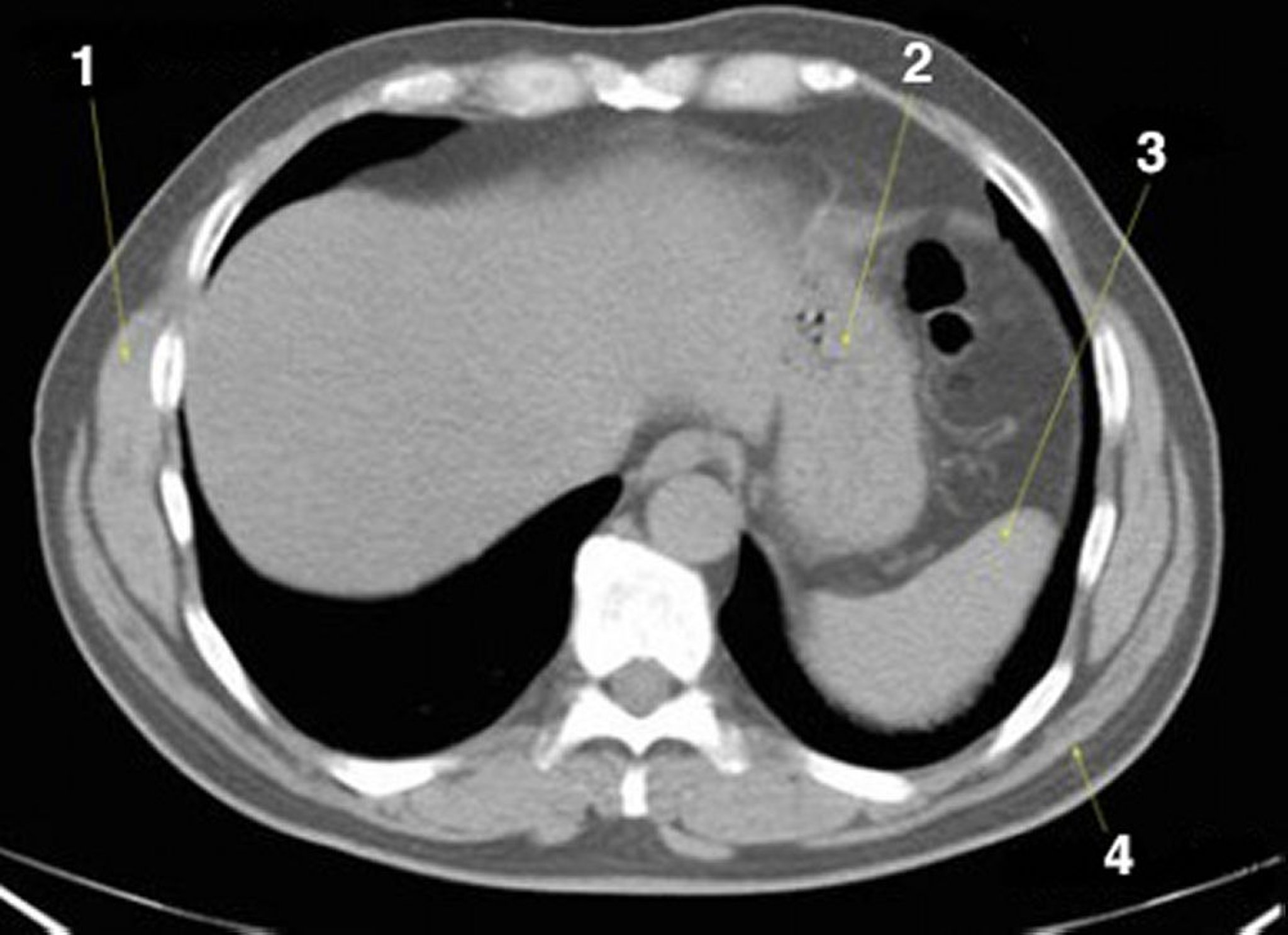
1 = serrátil anterior; 2 = estômago; 3 = baço; 4 = latíssimo do dorso.
© Springer Science+Business Media
Nesses tópicos
1 = serrátil anterior; 2 = estômago; 3 = baço; 4 = latíssimo do dorso.
© Springer Science+Business Media