TC de tórax na sarcoidose pulmonar
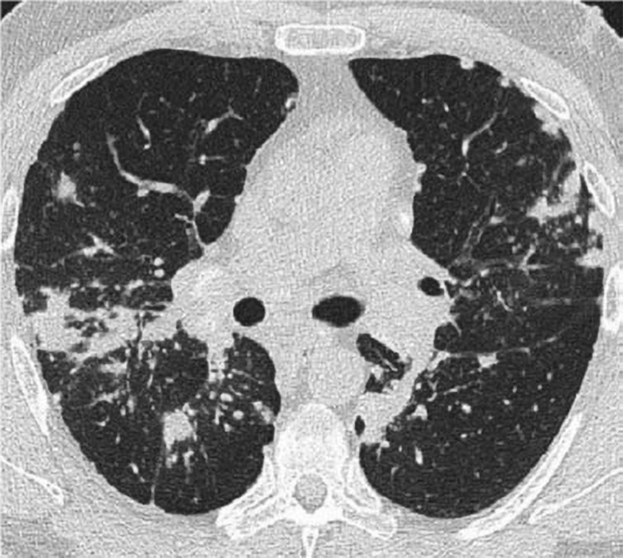
Essa TC de alta resolução do tórax de um paciente com sarcoidose pulmonar mostra espessamento dos feixes broncovasculares e perolização dos septos interlobulares.
Imagem cedida por cortesia de Birendra P. Sah, MD, FCCP.
Nesses tópicos
