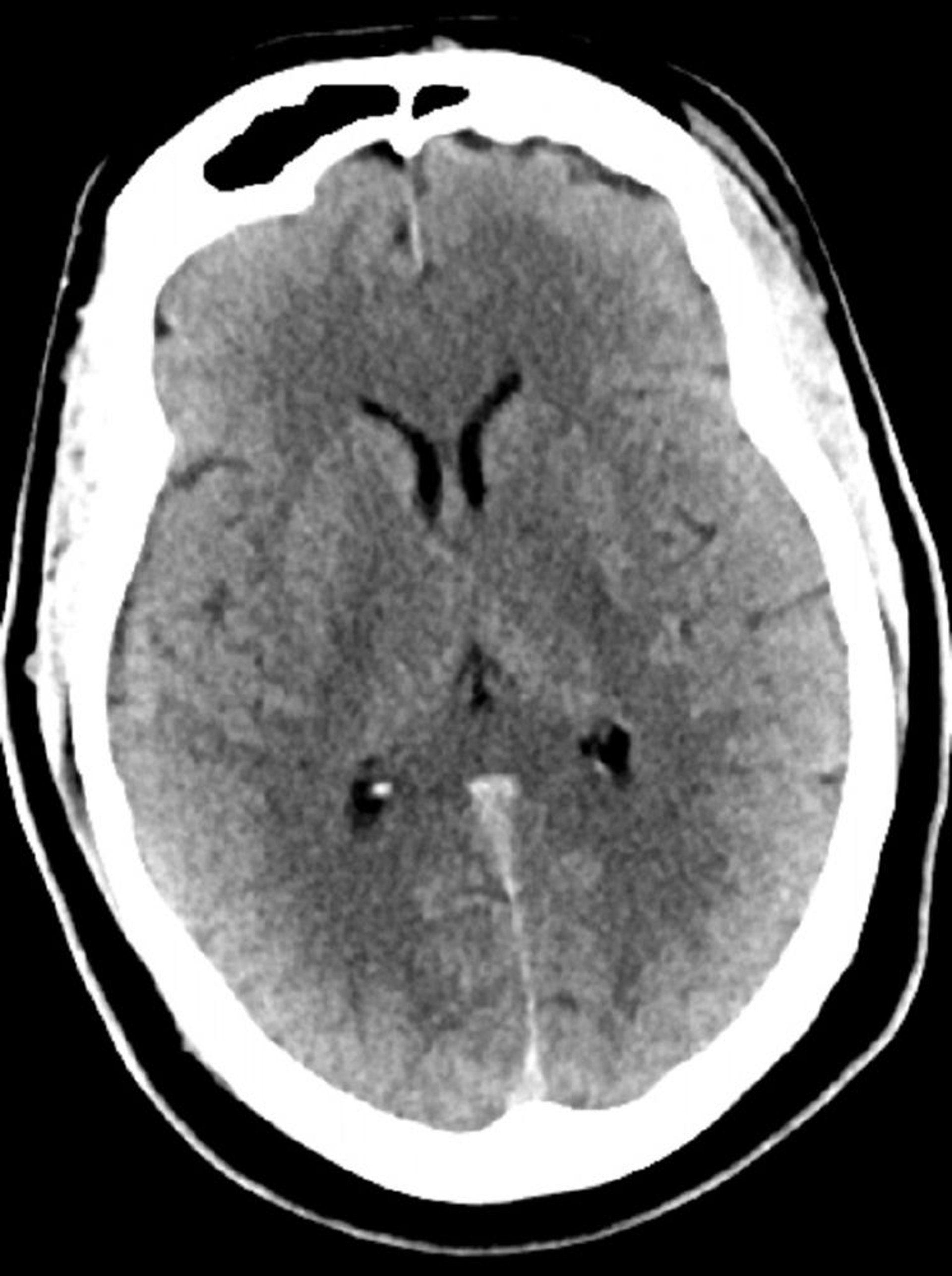
TC de crânio normal (adulto, idade 30) – – Diapositivo 5
Essa é uma TC normal da cabeça de um adulto jovem com 30 anos. Não há líquido ou hemorragia intra ou extra axial. A diferenciação cinza-branco é preservada. O tamanho ventricular e o padrão dos sulcos parecem normais.
© 2017 Elliot K. Fishman, MD.
