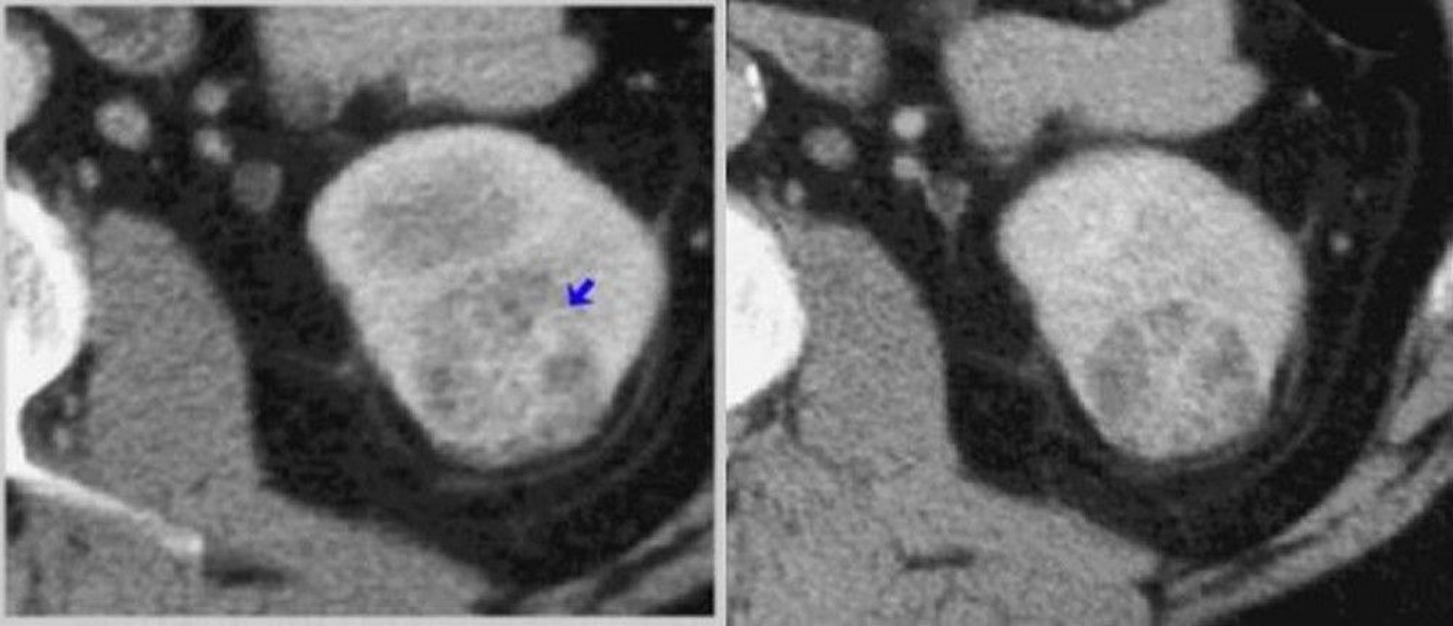
TC com contraste do rim (fases corticomedular e nefrográfica)
À esquerda, TC de fase corticomedular mostra tumor que aumenta heterogeneamente (seta). À direita, uma TC nefrográfica define melhor o tumor.
© Springer Science+Business Media
Nesses tópicos
