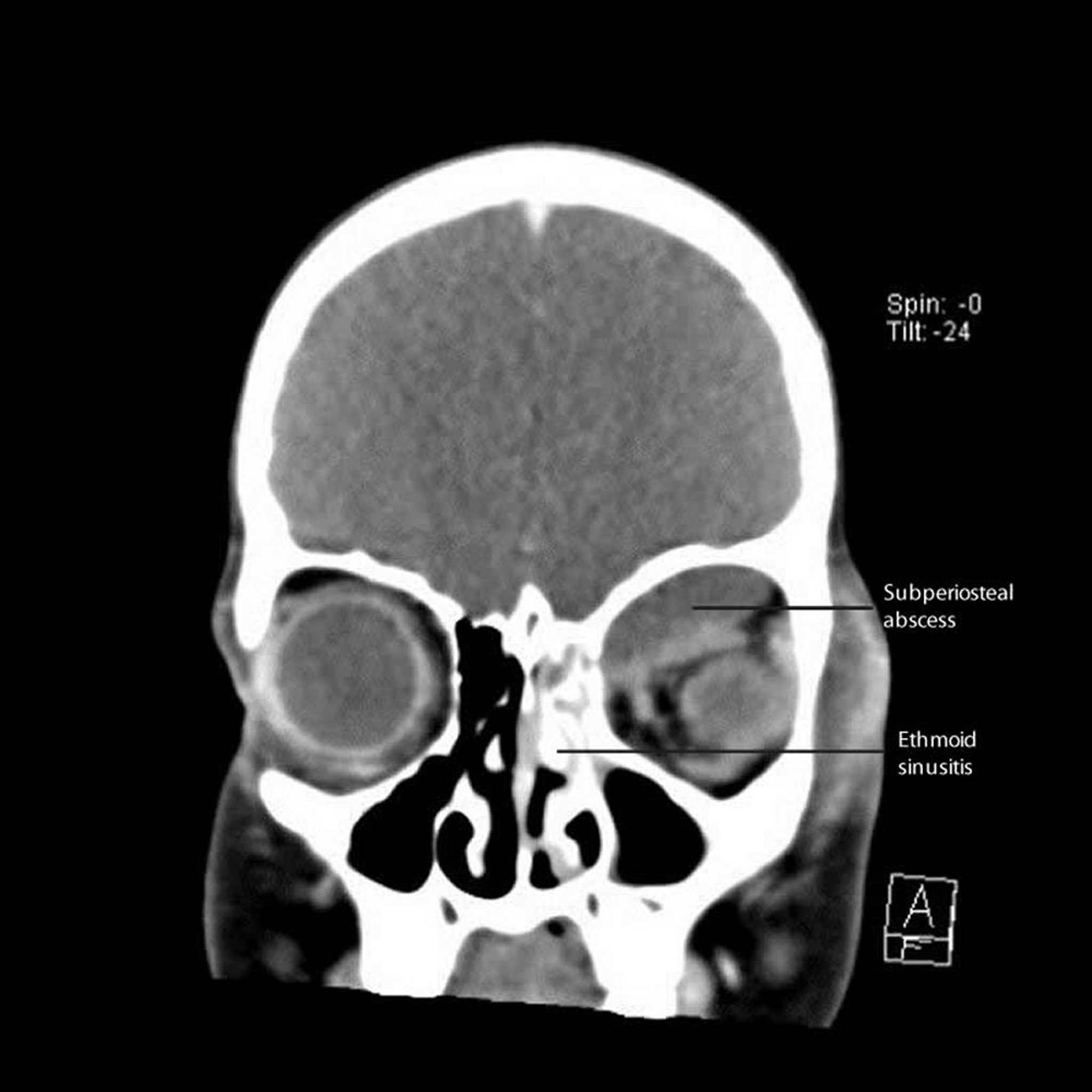
Sinusite etmoidal com abscesso subperiosteal
Essa TC mostra sinusite etmoidal esquerda com abscesso subperiosteal adjacente ao longo da parede medial e do teto da órbita.
CT courtesy of James Garrity, MD.
Nesses tópicos
Essa TC mostra sinusite etmoidal esquerda com abscesso subperiosteal adjacente ao longo da parede medial e do teto da órbita.
CT courtesy of James Garrity, MD.