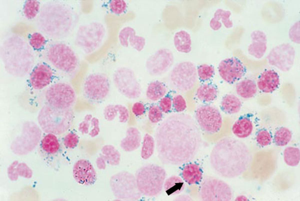
Sideroblastos em anel na anemia sideroblástica
Na anemia sideroblástica, são vistos sideroblastos em anel na medula óssea (seta). Os sideroblastos em anel são precursores eritroides cujas mitocôndrias (localizadas ao redor do núcleo) estão repletas de ferro não heme.
By permission of the publisher. From Tefferi A, Li C. In Atlas of Clinical Hematology. Edited by JO Armitage. Philadelphia, Current Medicine, 2004.
Nesses tópicos
