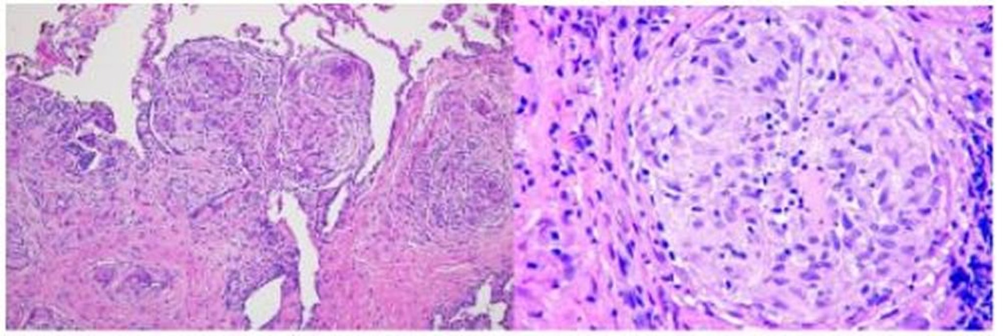
Sarcoidose (histopatologia)
Nessa imagem, uma biópsia pulmonar de um paciente com sarcoidose mostra granulomas ao longo do feixe broncovascular (coloração com hematoxilina e eosina, baixa ampliação; à esquerda) e granuloma sarcoide com células multinucleadas muito grandes no centro dos granulomas (alta ampliação; à direita).
Imagem cedida por cortesia de Birendra P. Sah, MD, FCCP.
Nesses tópicos
