Sarcoidose (granuloma da íris)
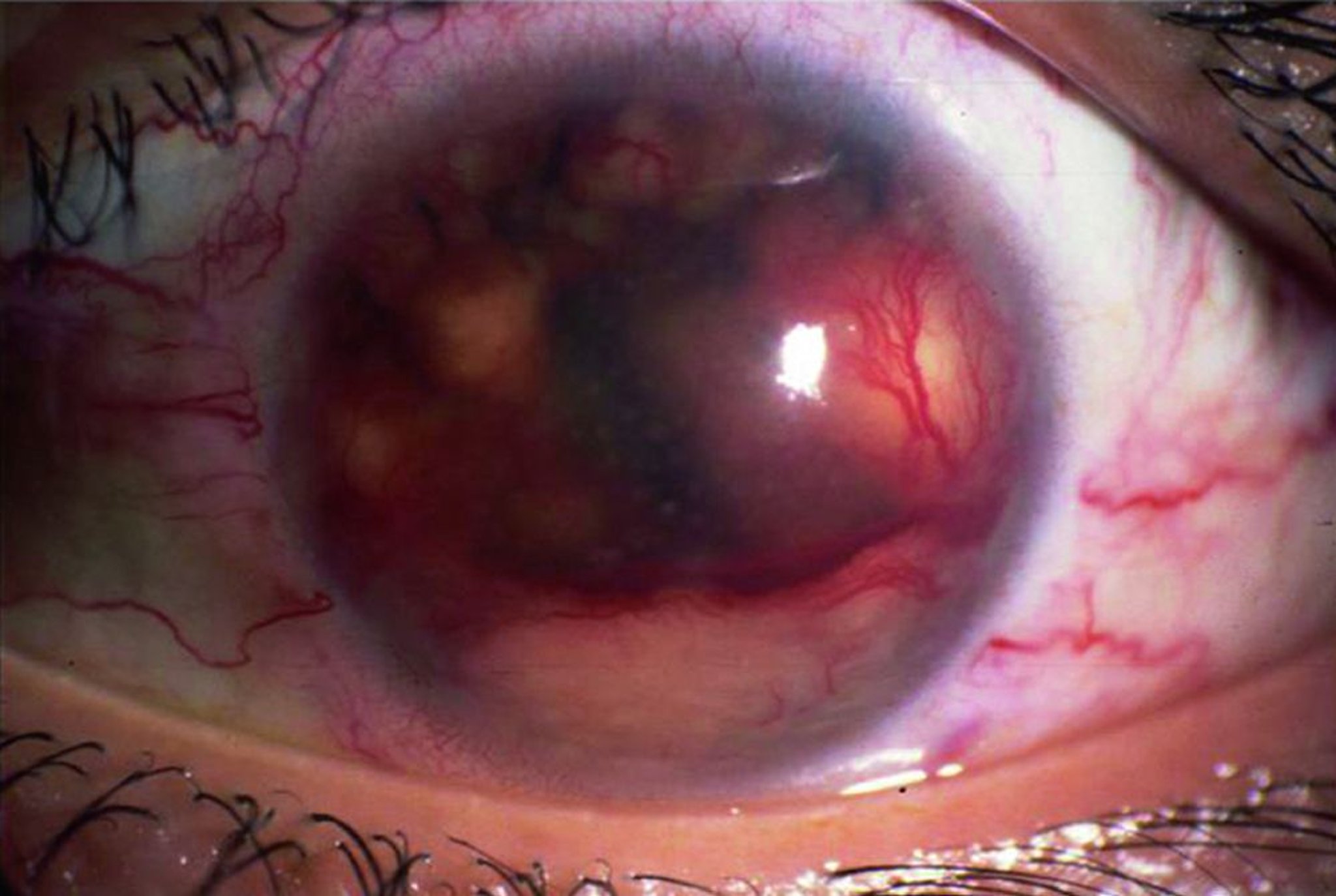
Esta foto mostra granulomas na íris (visíveis como manchas brancas), que também são chamados nódulos papilares de margem ou nódulos de Koeppe.
© Springer Science+Business Media
Nesses tópicos
Esta foto mostra granulomas na íris (visíveis como manchas brancas), que também são chamados nódulos papilares de margem ou nódulos de Koeppe.
© Springer Science+Business Media