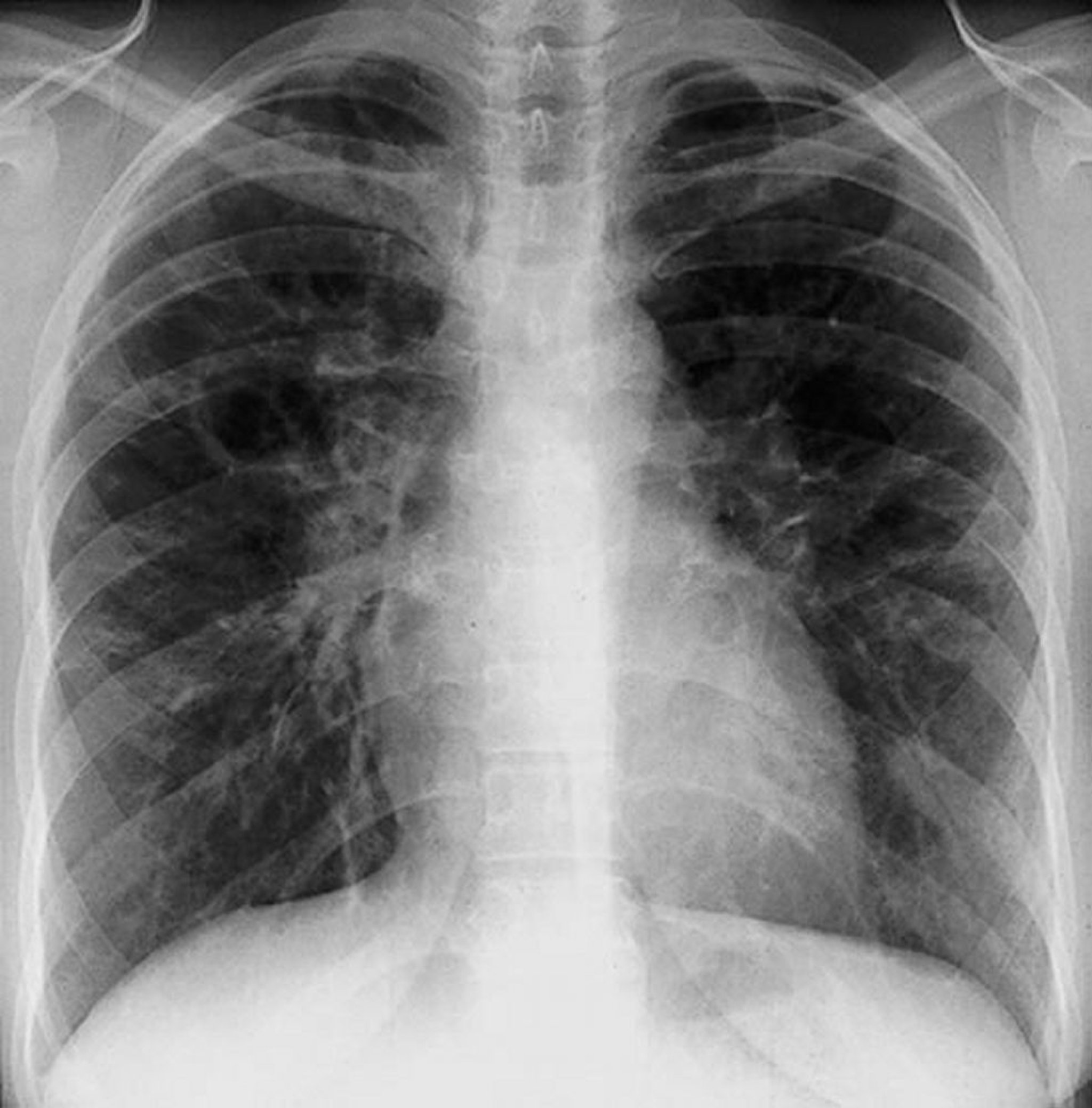
Sarcoidose (estágio III)
Infiltrados intersticiais difusos sem adenopatia hilar na sarcoidose em estágio III.
By permission of the publisher. De Tanoue L, Elias J. In Bone's Atlas of Pulmonary and Critical Care Medicine. Edited by J Crapo. Philadelphia, Current Medicine, 2005.
Nesses tópicos
