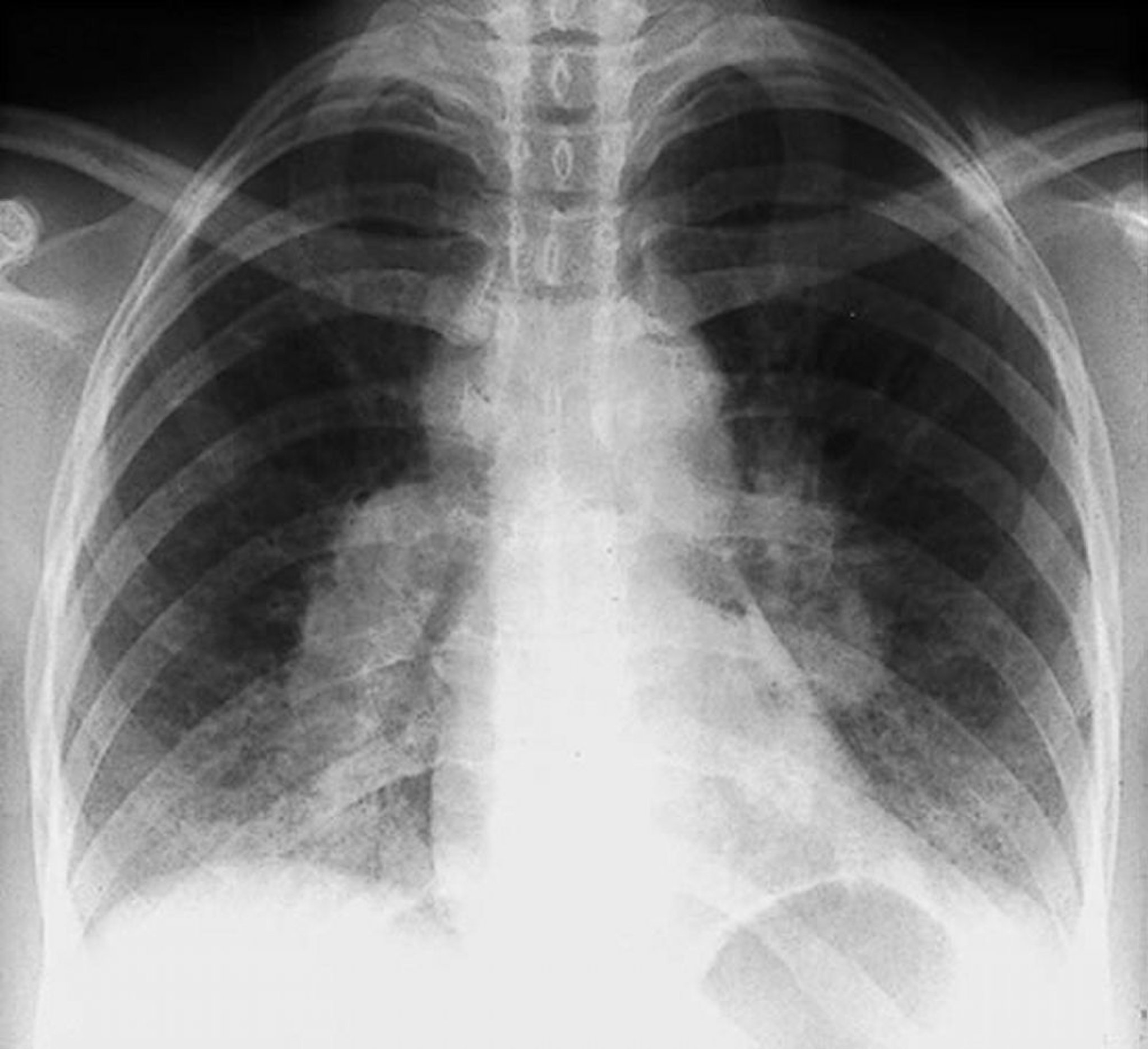
Sarcoidose (estágio I)
Adenopatia hilar bilateral na sarcoidose em estágio I.
By permission of the publisher. De Tanoue L, Elias J. In Bone's Atlas of Pulmonary and Critical Care Medicine. Edited by J Crapo. Philadelphia, Current Medicine, 2005.
Nesses tópicos
