Radiografia do tórax de um paciente com derrame pericárdico
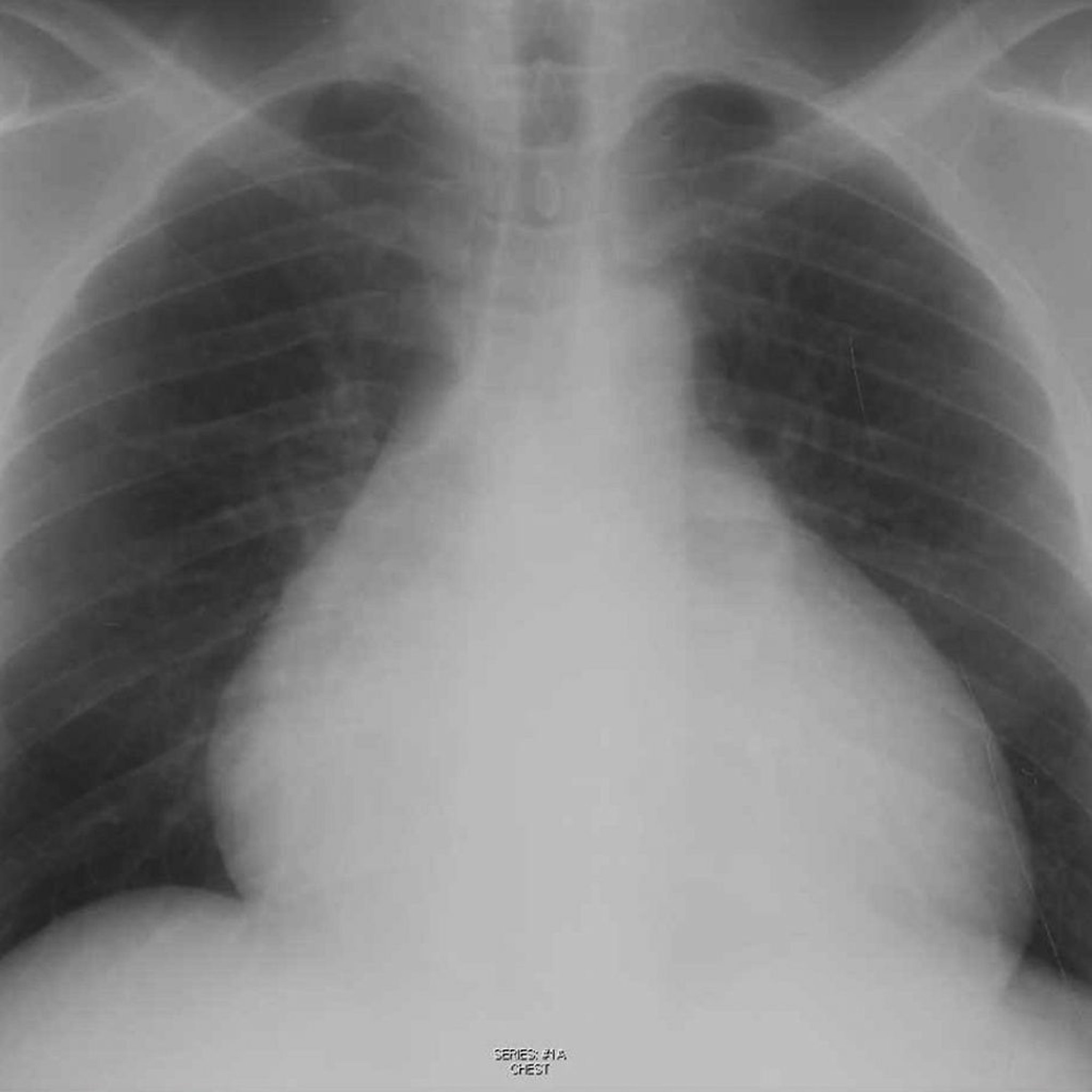
Essa radiografia mostra silhueta cardíaca aumentada em um paciente com derrame pericárdico.
© 2017 Elliot K. Fishman, MD.
Nesses tópicos
Essa radiografia mostra silhueta cardíaca aumentada em um paciente com derrame pericárdico.
© 2017 Elliot K. Fishman, MD.