Prolapso da valva mitral (ecocardiograma)
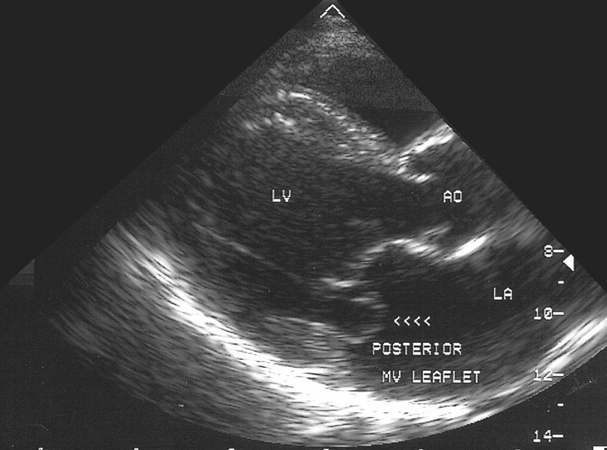
Essa imagem ecocardiográfica mostra prolapso da folheto posterior da valva mitral no átrio esquerdo (AE).
© Springer Science+Business Media
Nesses tópicos
Essa imagem ecocardiográfica mostra prolapso da folheto posterior da valva mitral no átrio esquerdo (AE).
© Springer Science+Business Media