Pneumonia grave
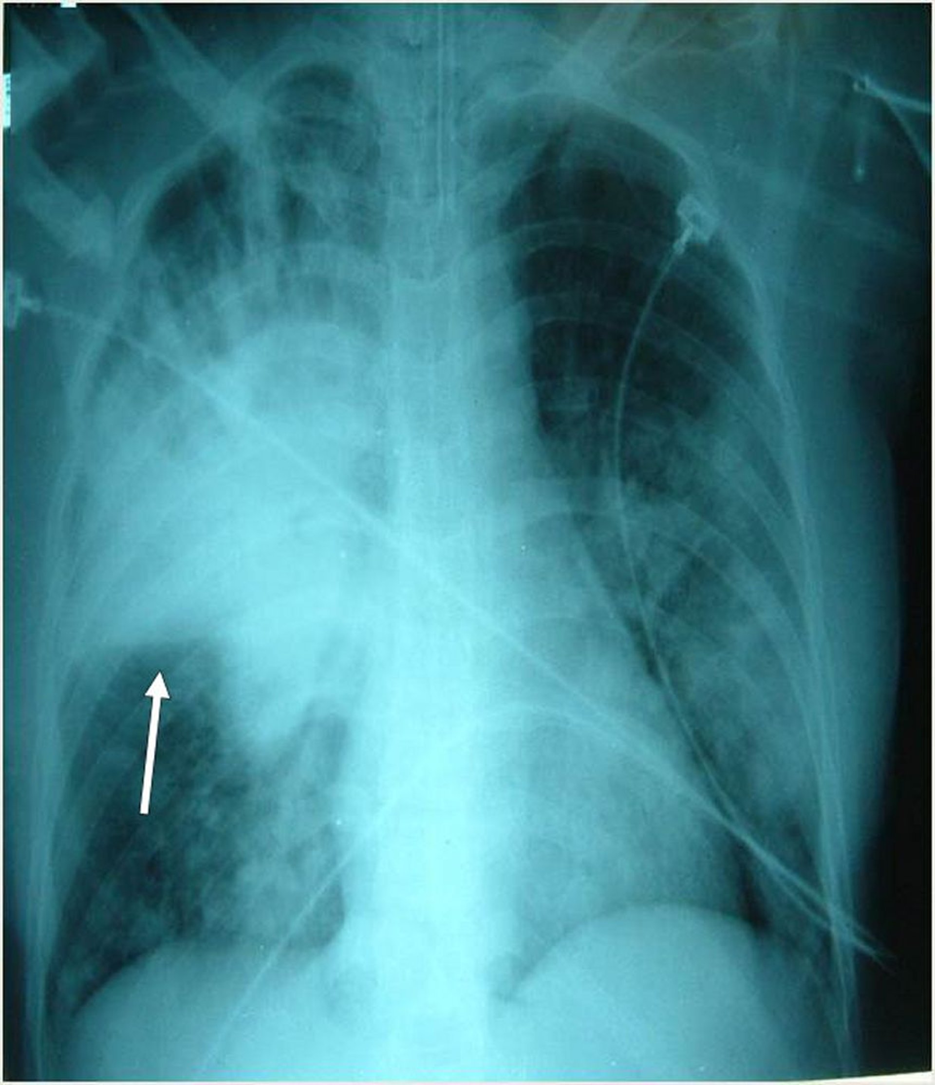
Esse paciente intubado tem múltiplos infiltrados bilaterais, mais proeminentemente no lobo superior direito. A seta indica a fissura horizontal direita.
Photo courtesy of Thomas M. File, Jr., MD MSc MACP FIDSA FCCP.
Nesses tópicos
Esse paciente intubado tem múltiplos infiltrados bilaterais, mais proeminentemente no lobo superior direito. A seta indica a fissura horizontal direita.
Photo courtesy of Thomas M. File, Jr., MD MSc MACP FIDSA FCCP.