Pneumonia em organização criptogênica
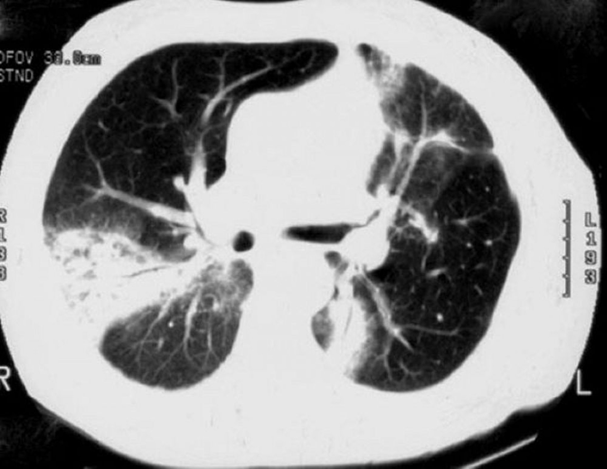
TC de alta resolução mostra consolidação esparsa dos espaços aéreos, opacidades em vidro fosco, pequenas opacidades nodulares e espessamento e dilatação da parede brônquica (broncograma aéreo).
Imagem cedida por cortesia de Talmadge E. King, MD.
Nesses tópicos
