Pneumoconiose
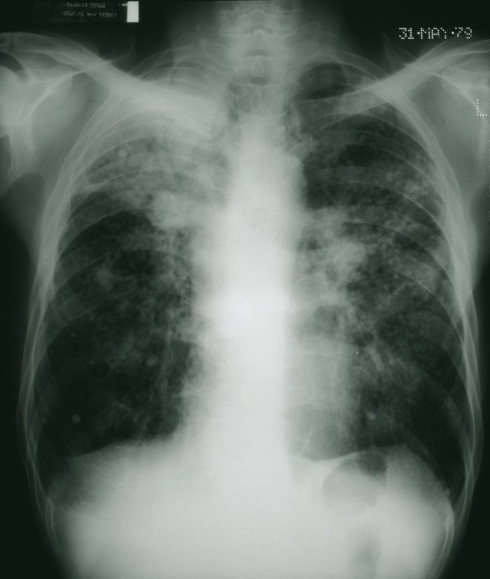
As áreas pulmonares escuras mostram um aspecto mosqueado com placas de massas fibrosas brancas consistente com pneumoconiose avançada do trabalhador de carvão.
STEVE ALLEN/SCIENCE PHOTO LIBRARY
Nesses tópicos
As áreas pulmonares escuras mostram um aspecto mosqueado com placas de massas fibrosas brancas consistente com pneumoconiose avançada do trabalhador de carvão.
STEVE ALLEN/SCIENCE PHOTO LIBRARY