Osteopoiquilose da pelve
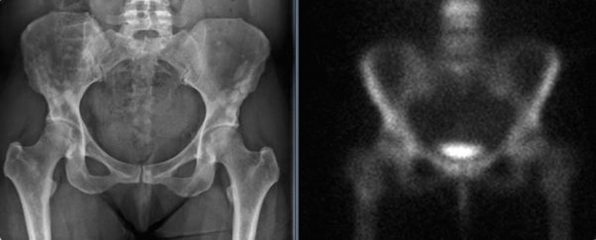
A radiografia da pelve (esquerda) mostra osteopoiquilose da pelve em uma mulher adulta. Essas densidades podem ser confundidas com metástases blásticas. A cintilografia óssea (à direita) não mostra captação aumentada significativa.
Imagens cortesia de Michael J. Joyce, MD, and David M. Joyce, MD.
Nesses tópicos
