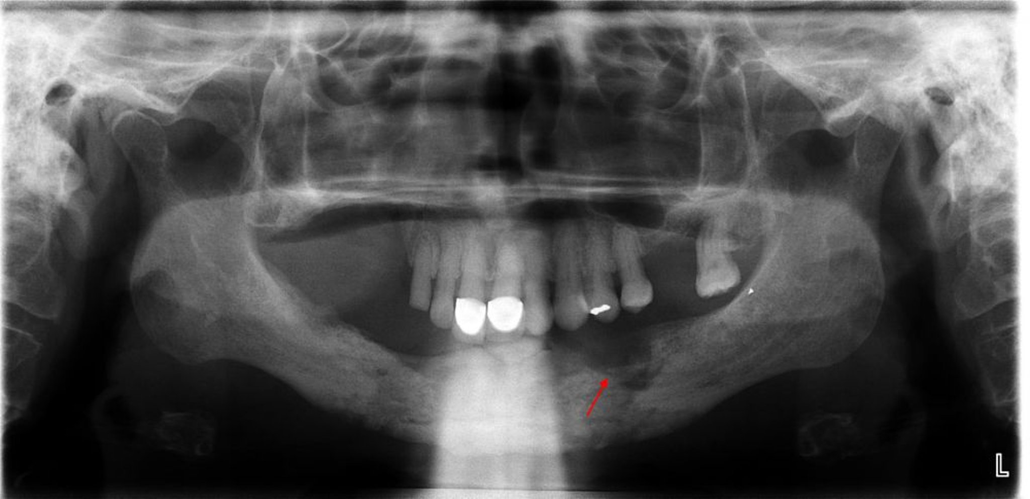
Osteomielite
Essa radiografia revela osteomielite com sequestro evidente (osso não viável) observado no quadrante mandibular posterior esquerdo.
Imagem cedida por cortesia de Byron (Pete) Benson, DDS, MS, Texas A&M University Baylor College of Dentistry.
Nesses tópicos
