Oligodendroglioma de baixo grau
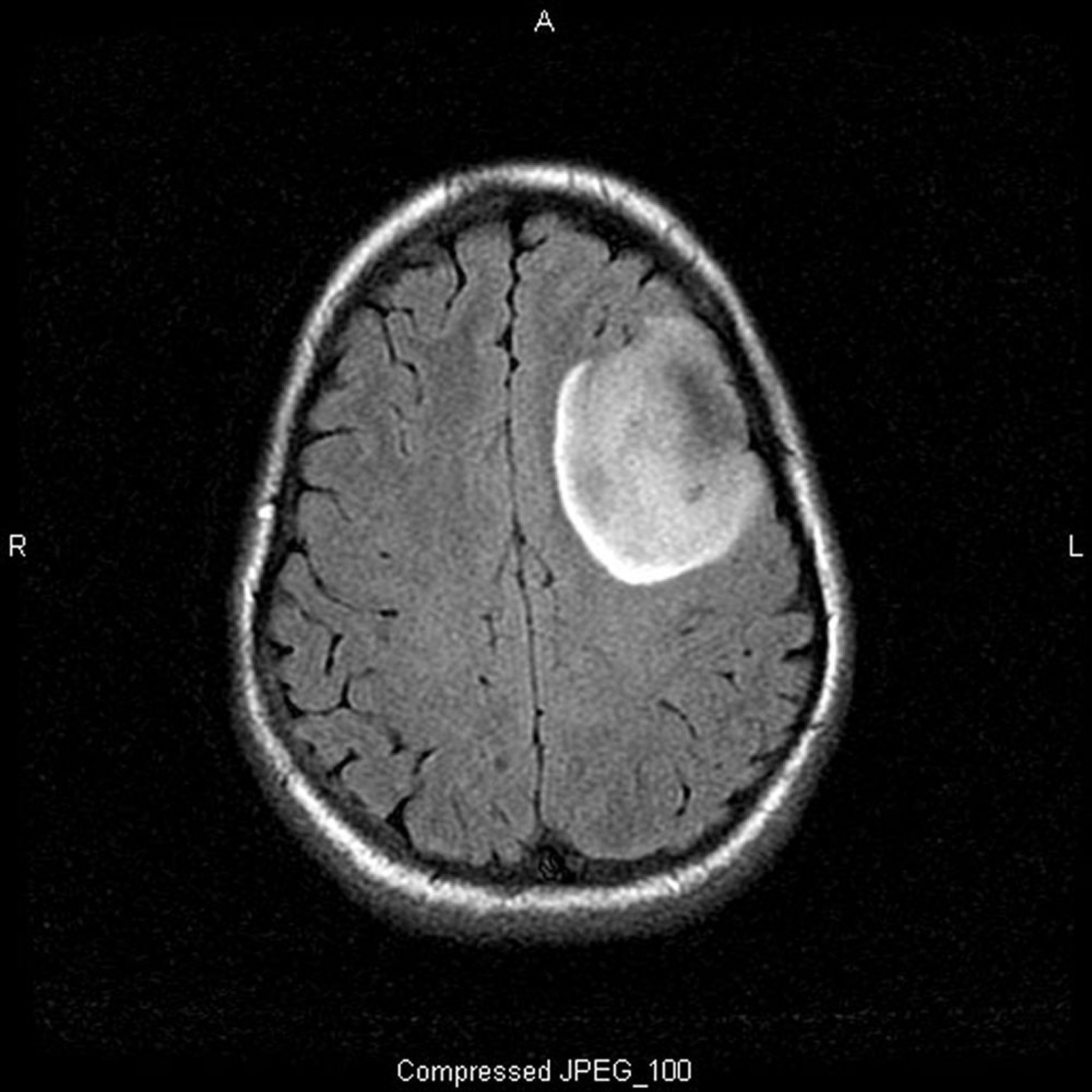
Essa RM ponderada em T2-FLAIR (fluid-attenuating inversion recovery, recuperação de inversão atenuada por fluidos:) mostra um sinal branco, que pode indicar uma massa ou edema. O sinal frontal esquerdo está bem demarcado, sugerindo massa. O uso de contraste não o realça. É um oligodendroglioma de baixo grau (grau II).
Imagem cedida por cortesia de William R. Shapiro, MD.
Nesses tópicos
