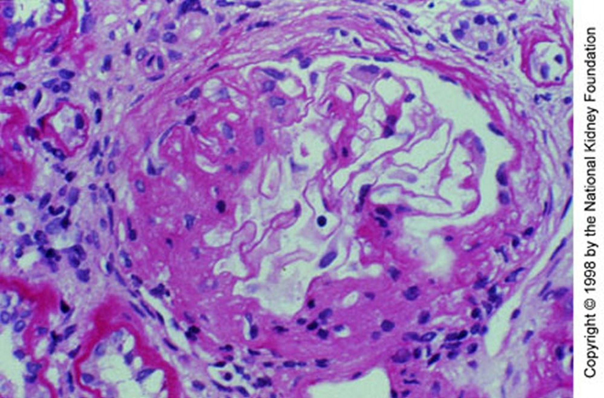
Nefropatia por IgA (expansão mesangial)
Expansão mesangial com esclerose segmentar (coloração com ácido periódico de Schiff, × 200).
Image provided by Agnes Fogo, MD, and the American Journal of Kidney Diseases' Atlas of Renal Pathology (see www.ajkd.org).
Nesses tópicos
