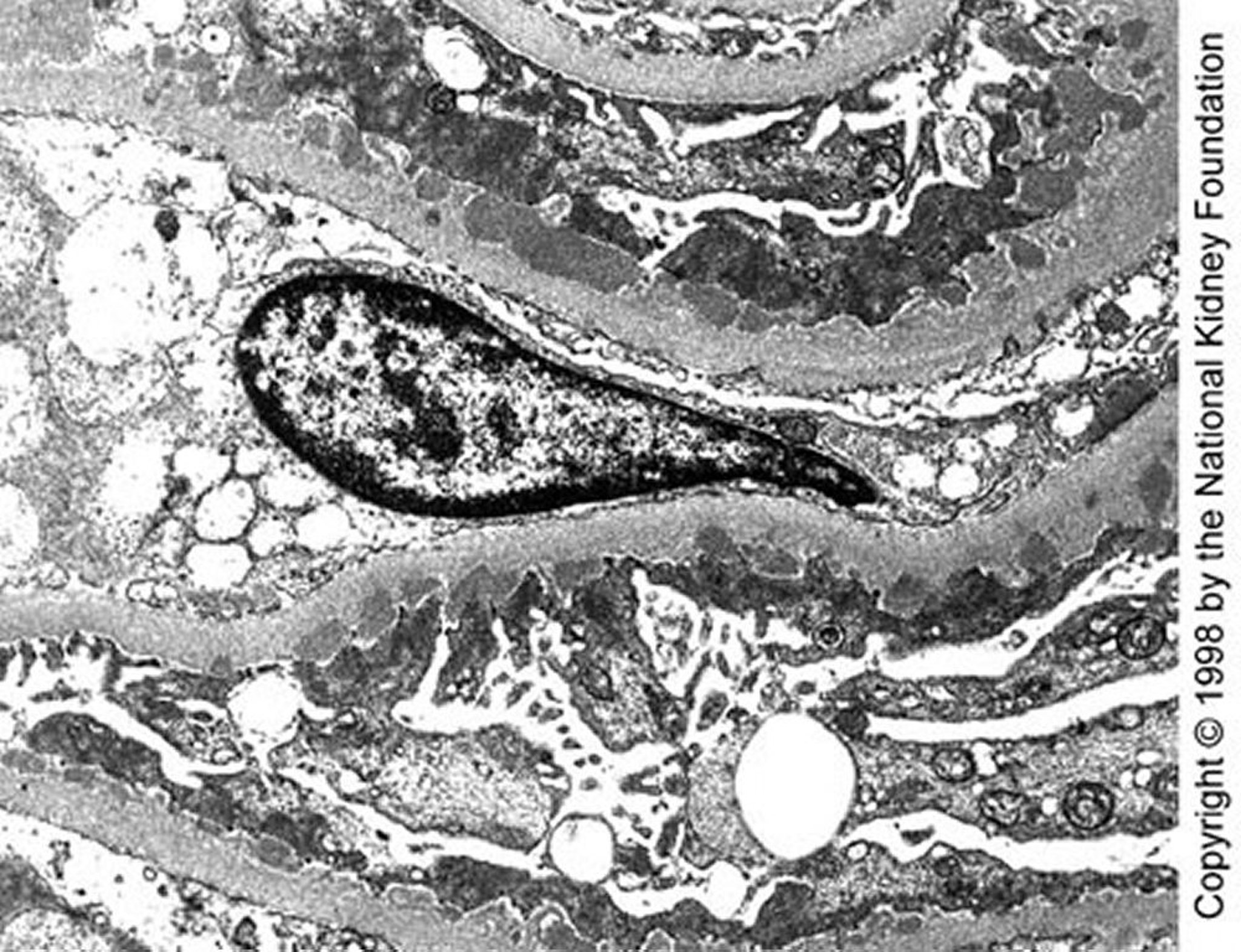
Nefropatia membranosa (depósitos densos)
Observam-se depósitos densos subepiteliais de tamanho médio por microscopia eletrônica na doença de fase I tardia (× 10.200).
Image provided by Agnes Fogo, MD, and the American Journal of Kidney Diseases' Atlas of Renal Pathology (see www.ajkd.org).
Nesses tópicos
