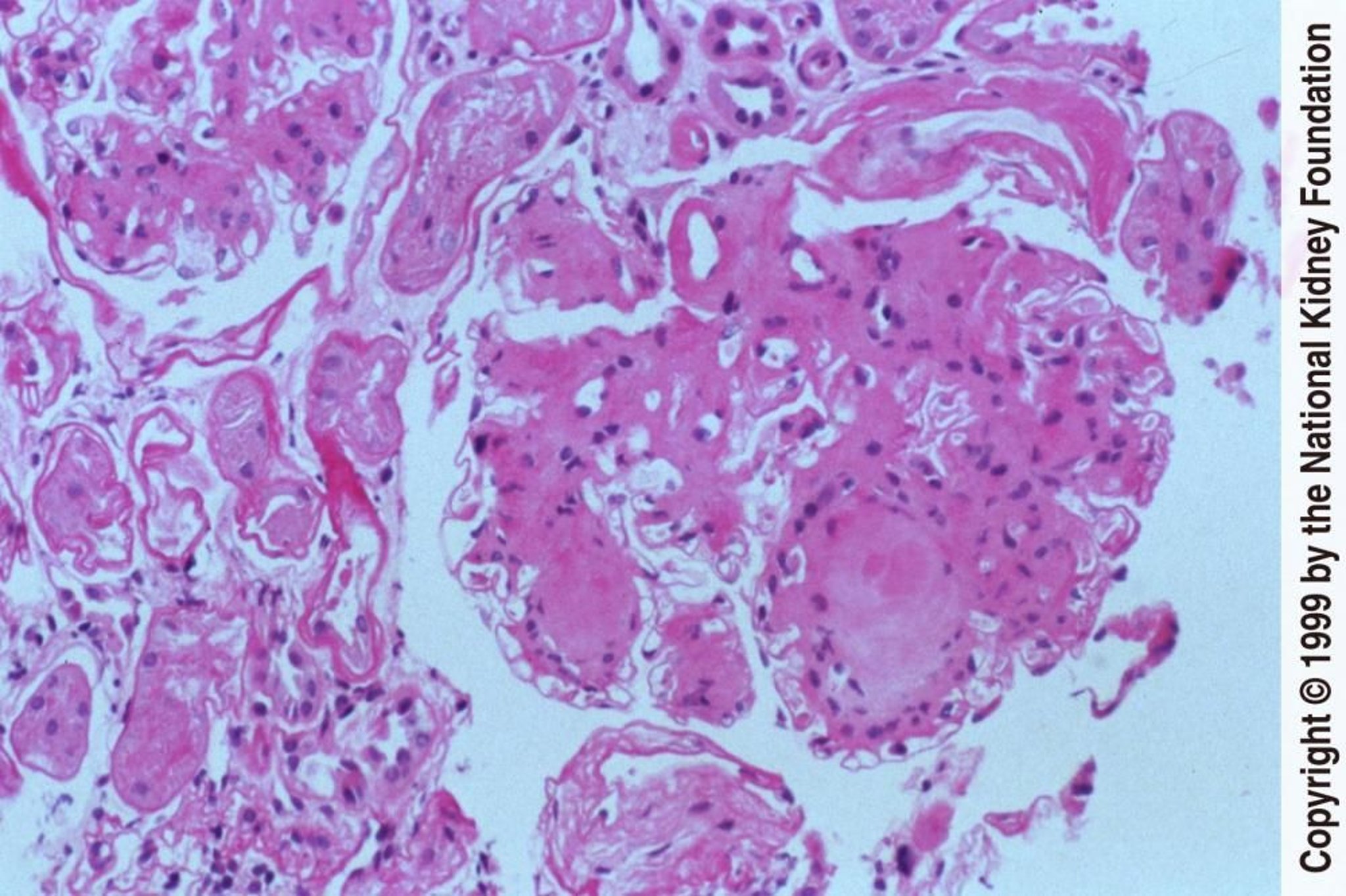
Nefropatia diabética (nódulos)
A formação de nódulos acelulares dentro da matriz mesangial é uma característica distintiva da nefropatia diabética (coloração com ácido periódico de Schiff, × 200).
Image provided by Agnes Fogo, MD, and the American Journal of Kidney Diseases' Atlas of Renal Pathology (see www.ajkd.org).
Nesses tópicos
