Necrose tubular aguda
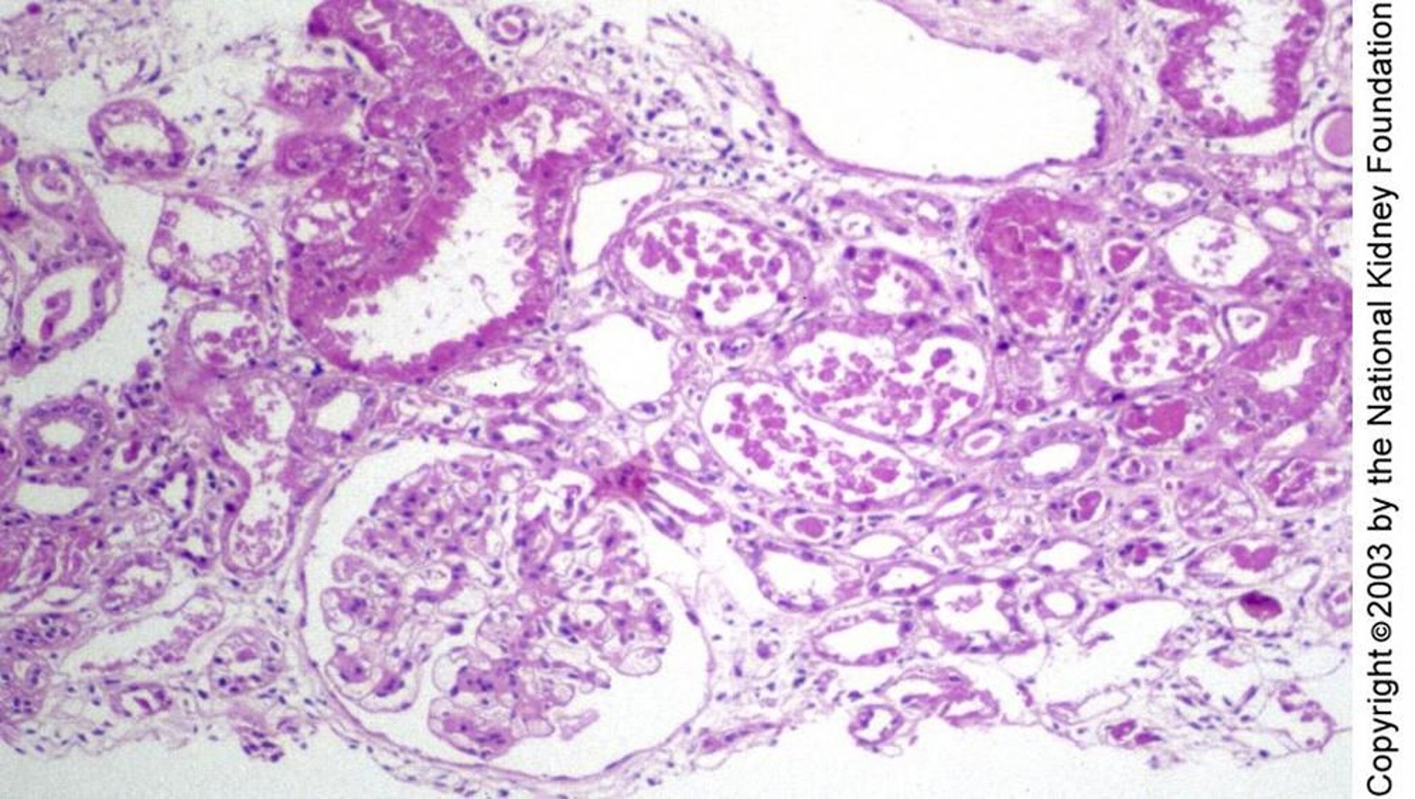
A lesão tubular na necrose tubular aguda pode se manifestar histologicamente como regeneração do epitélio tubular plano sem necrose, como visto à direita do glomérulo, bolhas e degeneração celular individual, como no canto superior esquerdo, ou necrose franca, como no meio da imagem (coloração com ácido periódico de Schiff, × 100).
Image provided by Agnes Fogo, MD, and the American Journal of Kidney Diseases' Atlas of Renal Pathology (see www.ajkd.org).
Nesses tópicos
