Metástases no cérebro
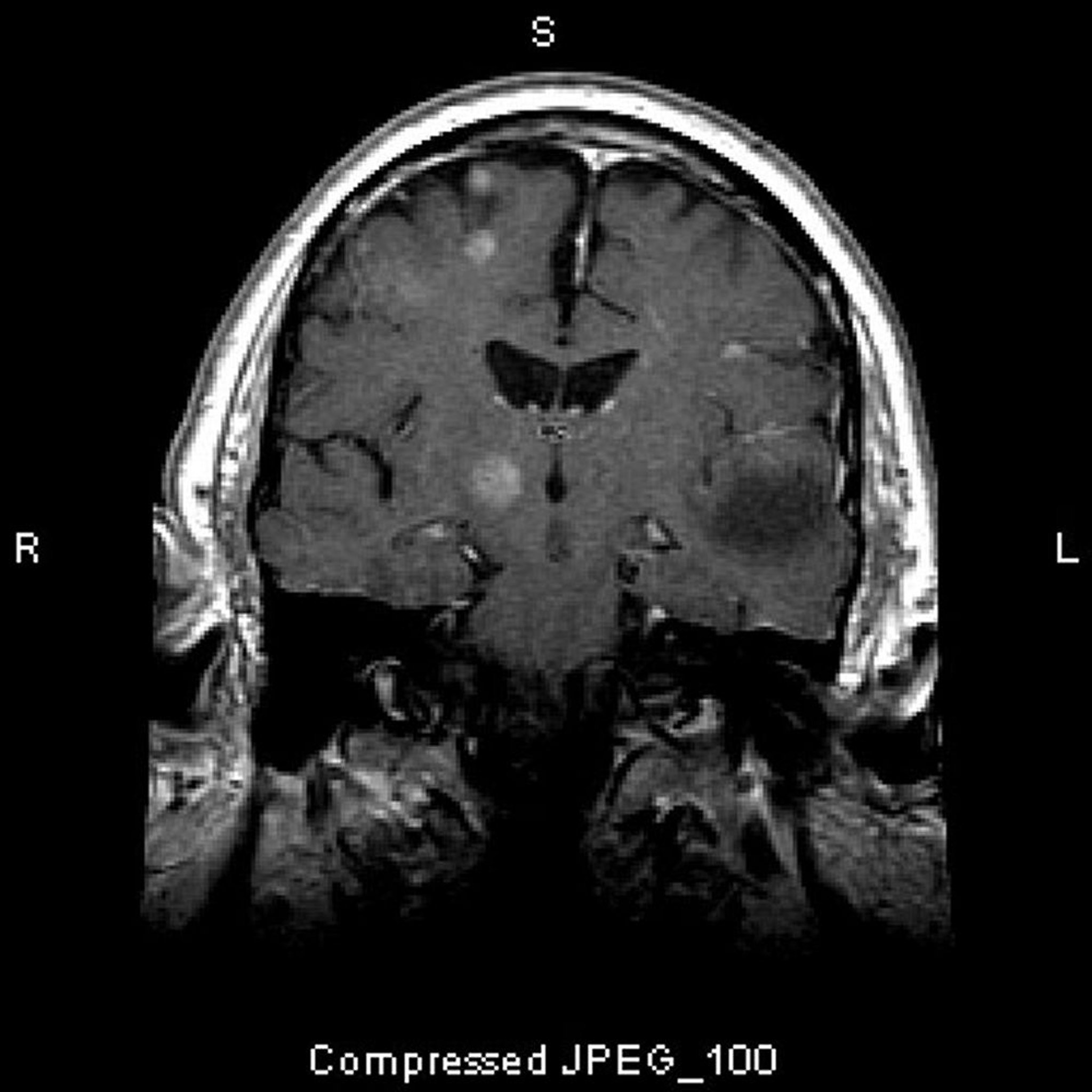
Essa RM mostra múltiplas lesões encefálicas, representando tumores metastáticos. Mais de 80% das metástases cerebrais são múltiplas.
Imagem cedida por cortesia de William R. Shapiro, MD.
Nesses tópicos
Essa RM mostra múltiplas lesões encefálicas, representando tumores metastáticos. Mais de 80% das metástases cerebrais são múltiplas.
Imagem cedida por cortesia de William R. Shapiro, MD.