Mesotelioma pleural
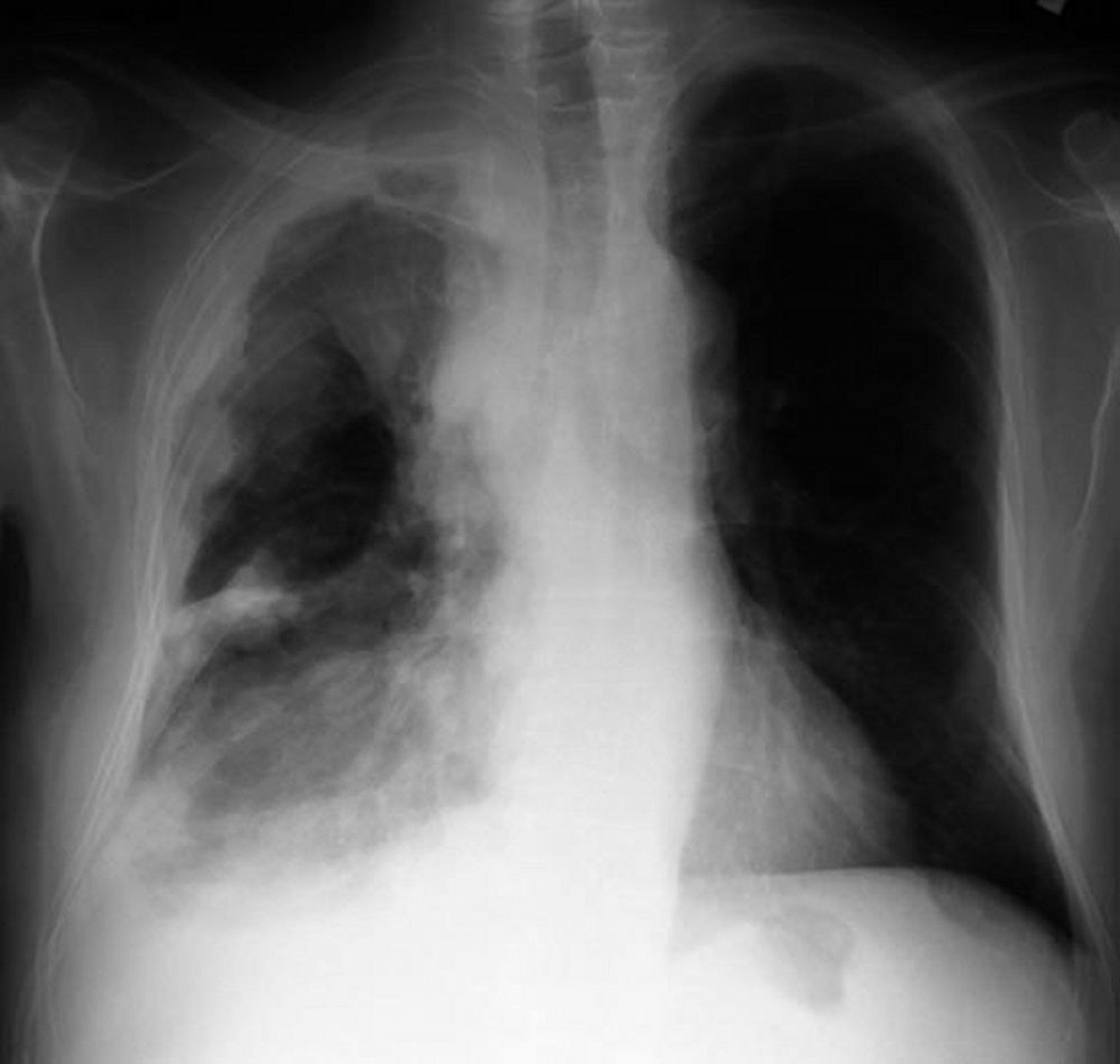
Radiografia de tórax de um paciente com mesotelioma pleural mostra espessamento pleural com massas nodulares na pleura parietal.
By permission of the publisher. From Huggins J, Sahn S. In Bone's Atlas of Pulmonary and Critical Care Medicine. Edited by J Crapo. Philadelphia, Current Medicine, 2005.
Nesses tópicos
