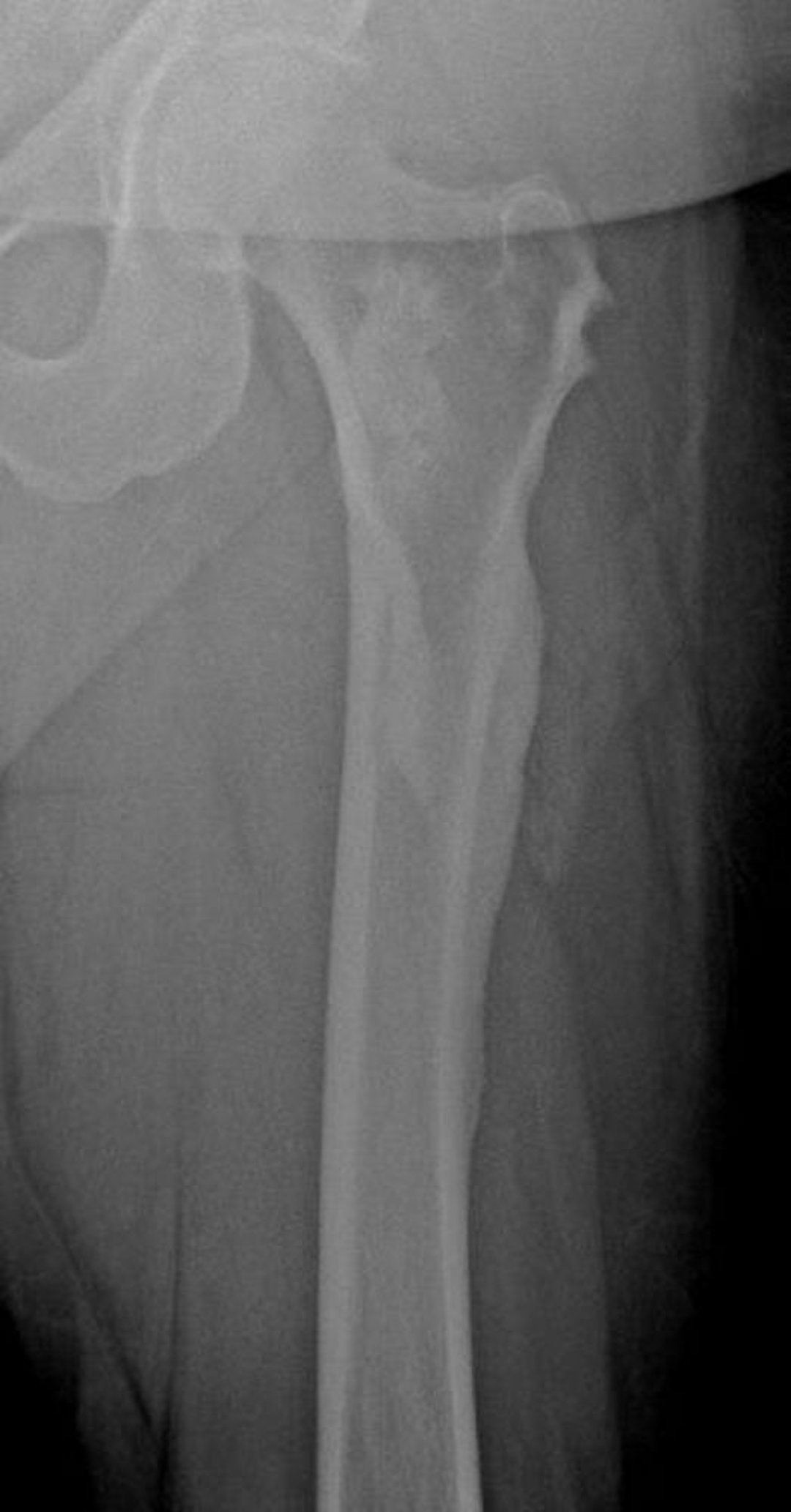
Melorreostose (cera derretida na margem de uma vela)
Esta radiografia evidencia a aparência de “cera de vela derretida” da melorreostose no fêmur, especialmente visível no córtex lateral do fêmur.
Imagem cedida por cortesia de Michael J. Joyce, MD, and David M. Joyce, MD.
Nesses tópicos
