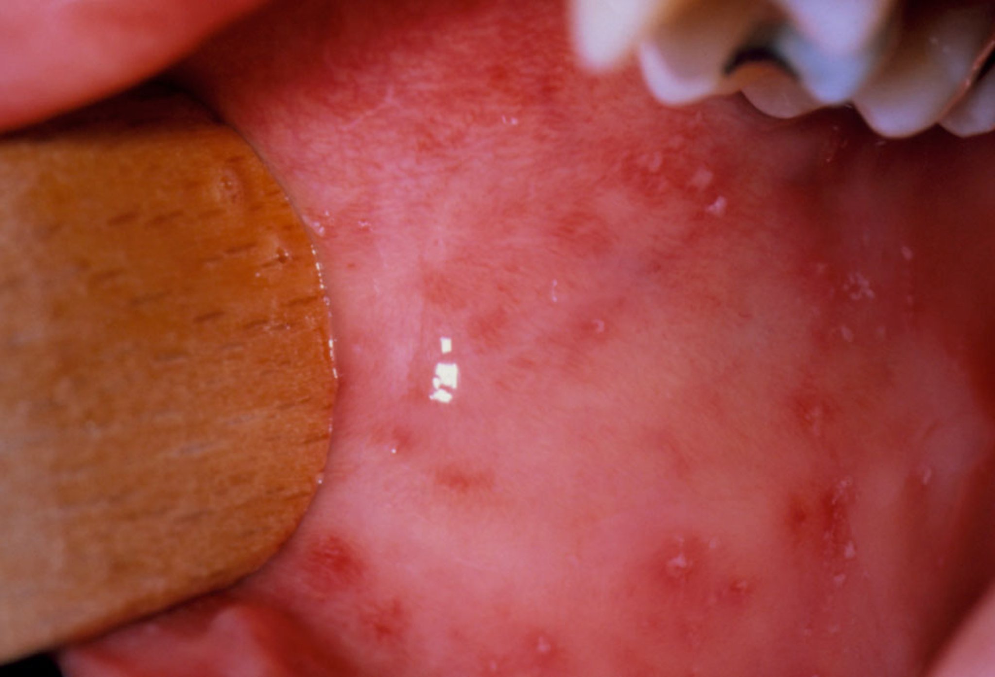
Manchas de Koplik no sarampo (2)
As manchas de Koplik são classicamente descritas como pontos vermelhos brilhantes com centro branco ou branco-azulado que podem se assemelhar a grãos de areia. Podem se localizar em qualquer parte da boca, muitas vezes precedem o exantema generalizado e são patognomônicas do sarampo.
DR P. MARAZZI/SCIENCE PHOTO LIBRARY
Nesses tópicos
