Linfoma orbital
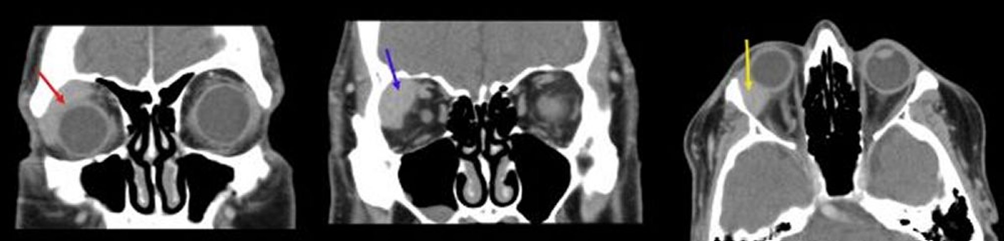
Nessa imagem, a primeira TC coronal (à esquerda) mostra uma massa homogênea em conformidade com o bulbo do olho (flecha vermelha). A segunda TC coronal (centro) mostra uma massa bem demarcada na fossa da glândula lacrimal direita (flecha azul). A TC axial (à direita) mostra uma massa homogênea na fossa lacrimal em conformidade com o bulbo do olho direito (flecha amarela).
Imagens cortesia de James Garrity, MD.
Nesses tópicos
