Leucoencefalopatia multifocal progressiva
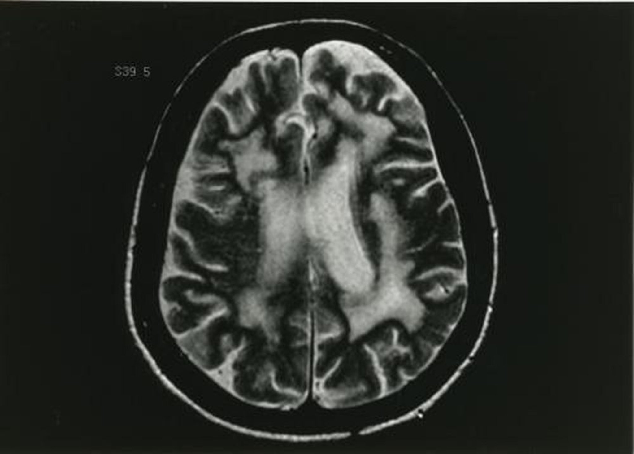
Essa imagem de RM ponderada em T2 mostra múltiplas áreas de alteração da substância branca.
Imagem fornecida por John E. Greenlee, MD.
Nesses tópicos
Essa imagem de RM ponderada em T2 mostra múltiplas áreas de alteração da substância branca.
Imagem fornecida por John E. Greenlee, MD.