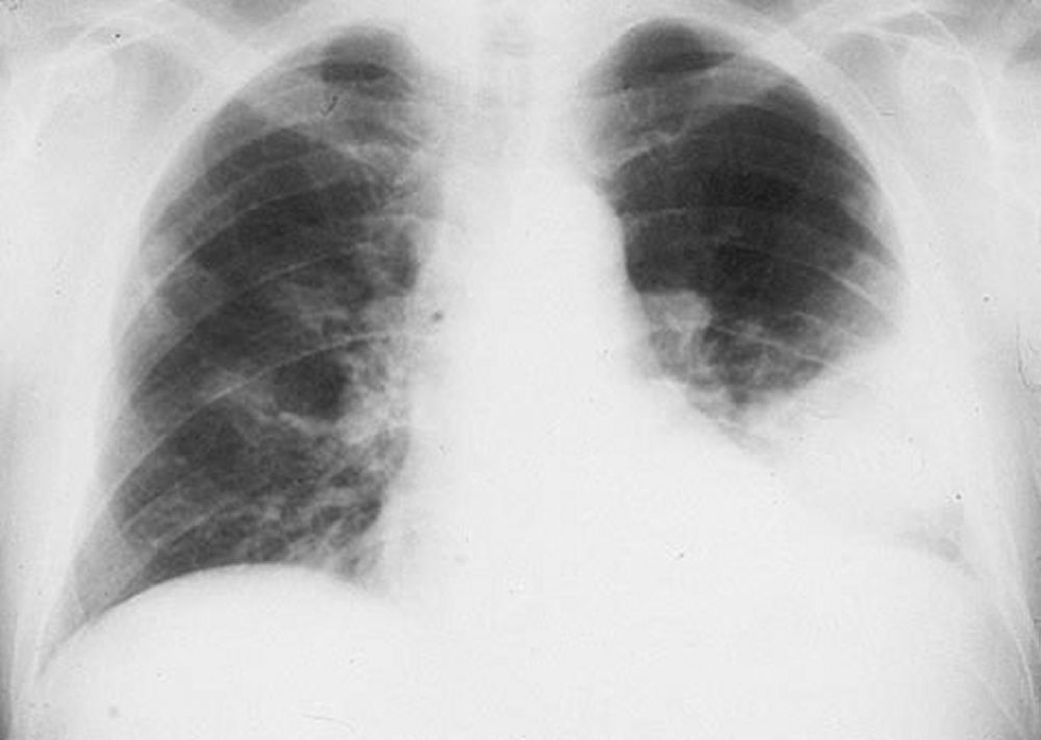
Infiltrado no lobo inferior esquerdo
Infiltrado alveolar no lobo inferior esquerdo em um homem com pneumonia bacteriana.
By permission of the publisher. De Roberts R. In Atlas of Infectious Diseases: Pleuropulmonary and Bronchial Infections. Editado por GL Mandell (editor de séries) e MS Simberkoff. Philadelphia, Current Medicine, 1996.
Nesses tópicos
