Infarto lacunar
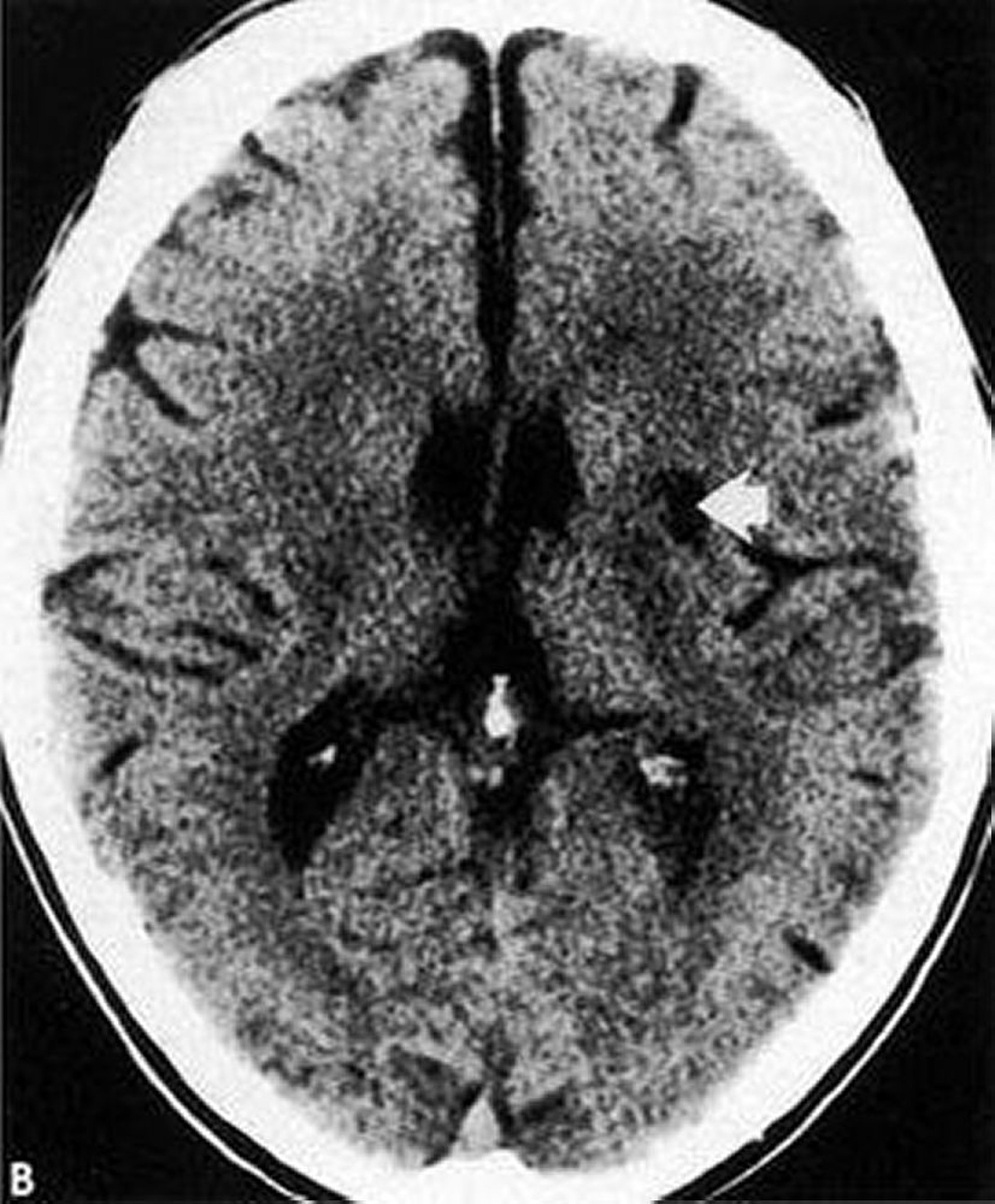
Essa TC mostra infarto lacunar de baixa densidade e bem definido (seta) nos gânglios da base.
By permission of the publisher. From Geremia G, Greenlee W. In Atlas of Cerebrovascular Disease. Edited by PB Gorelick and MA Sloan. Philadelphia, Current Medicine, 1996.
Nesses tópicos
