Incidência axial na TC de rins policísticos
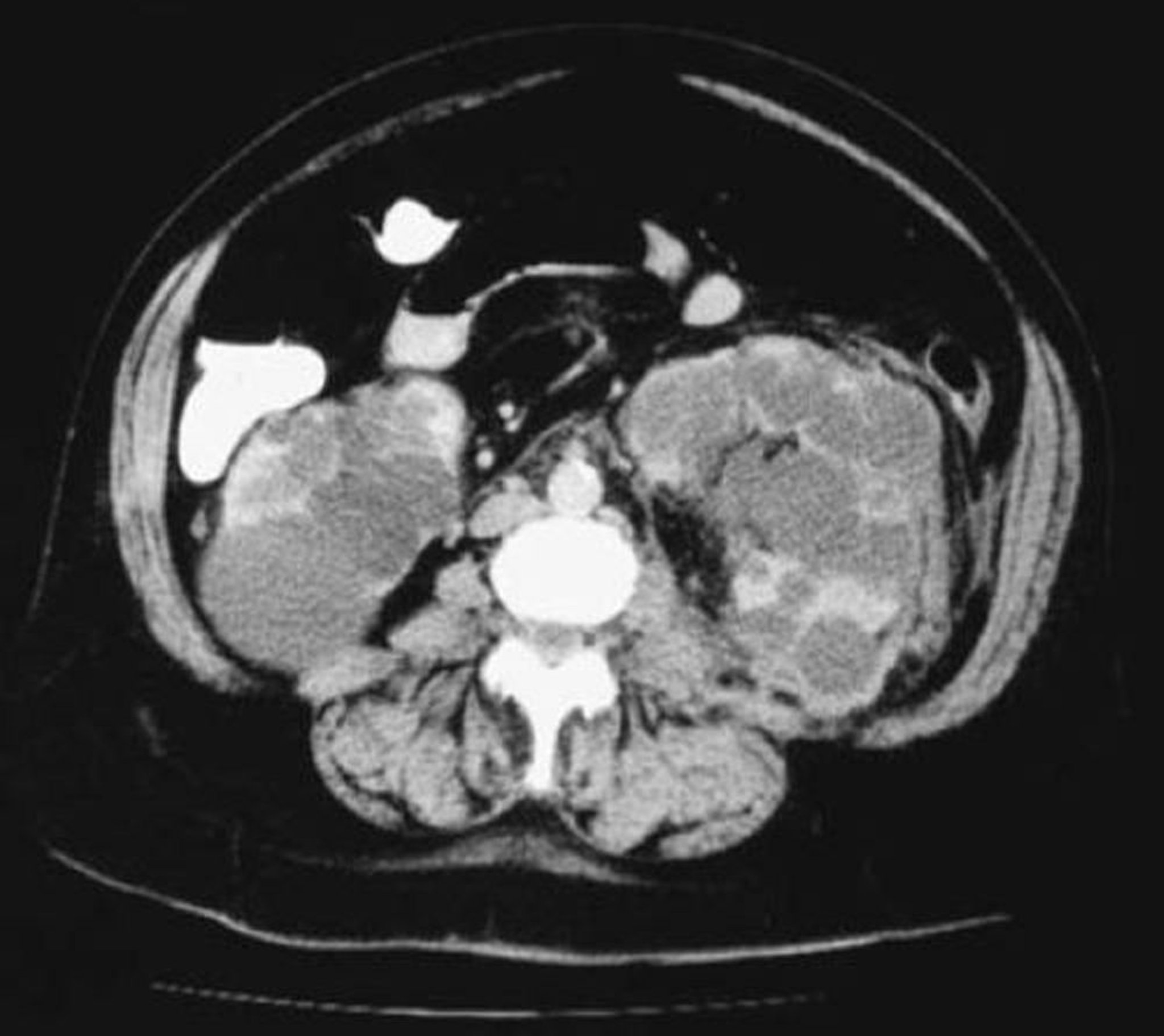
Essa TC dos rins mostra inúmeros cistos variando em tamanho. Pouco parênquima renal permanece.
© Springer Science+Business Media
Nesses tópicos
Essa TC dos rins mostra inúmeros cistos variando em tamanho. Pouco parênquima renal permanece.
© Springer Science+Business Media