Hemorragia subaracnoidea
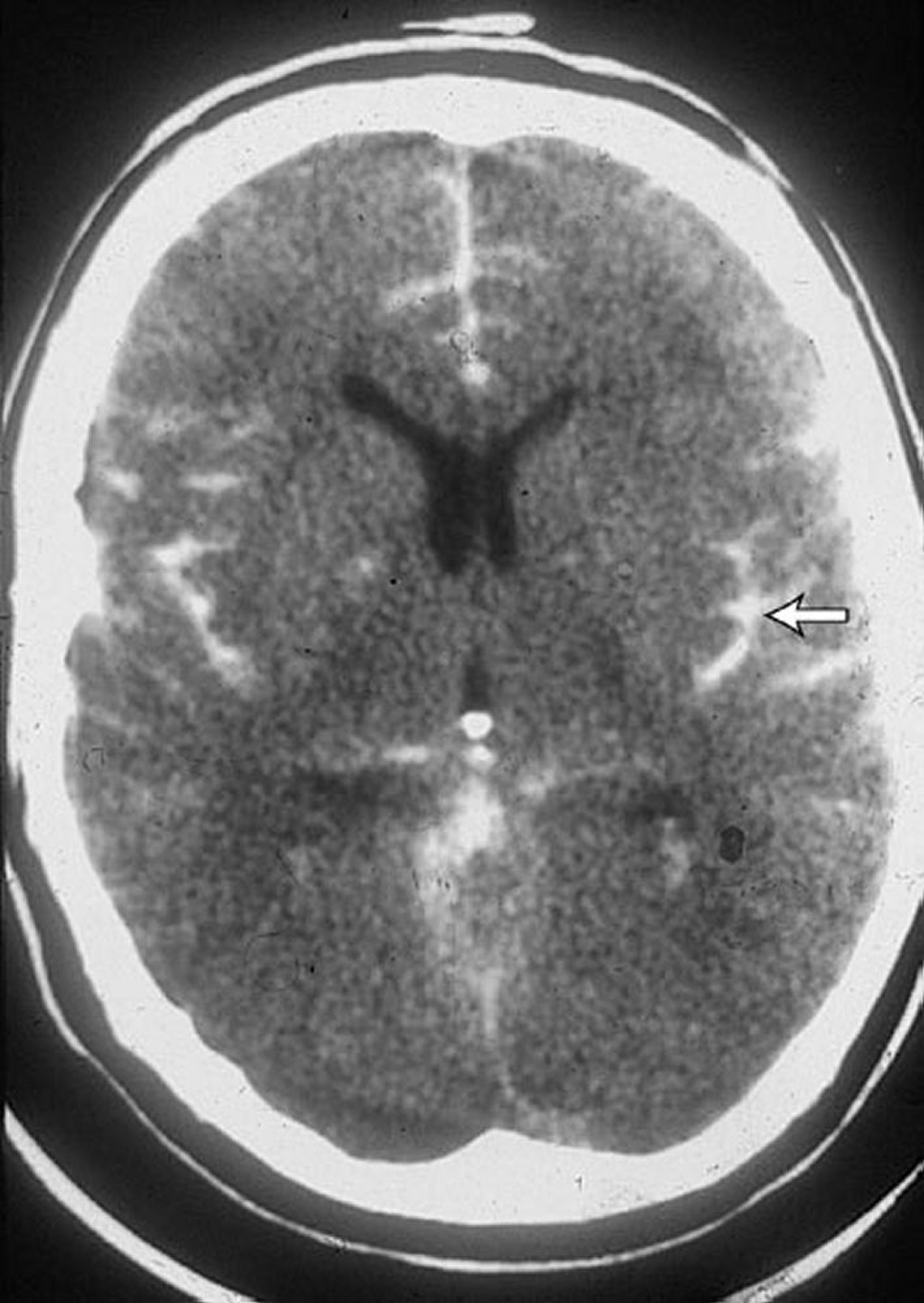
TC de um paciente com hemorragia subaracnoidea mostra sangue nos sulcos (seta). Frequentemente também é visto sangue nos ventrículos.
By permission of the publisher. From Lenaerts M, Couch J. In Atlas of Clinical Neurology. Edited by RN Rosenberg. Philadelphia, Current Medicine, 2002.
Nesses tópicos
