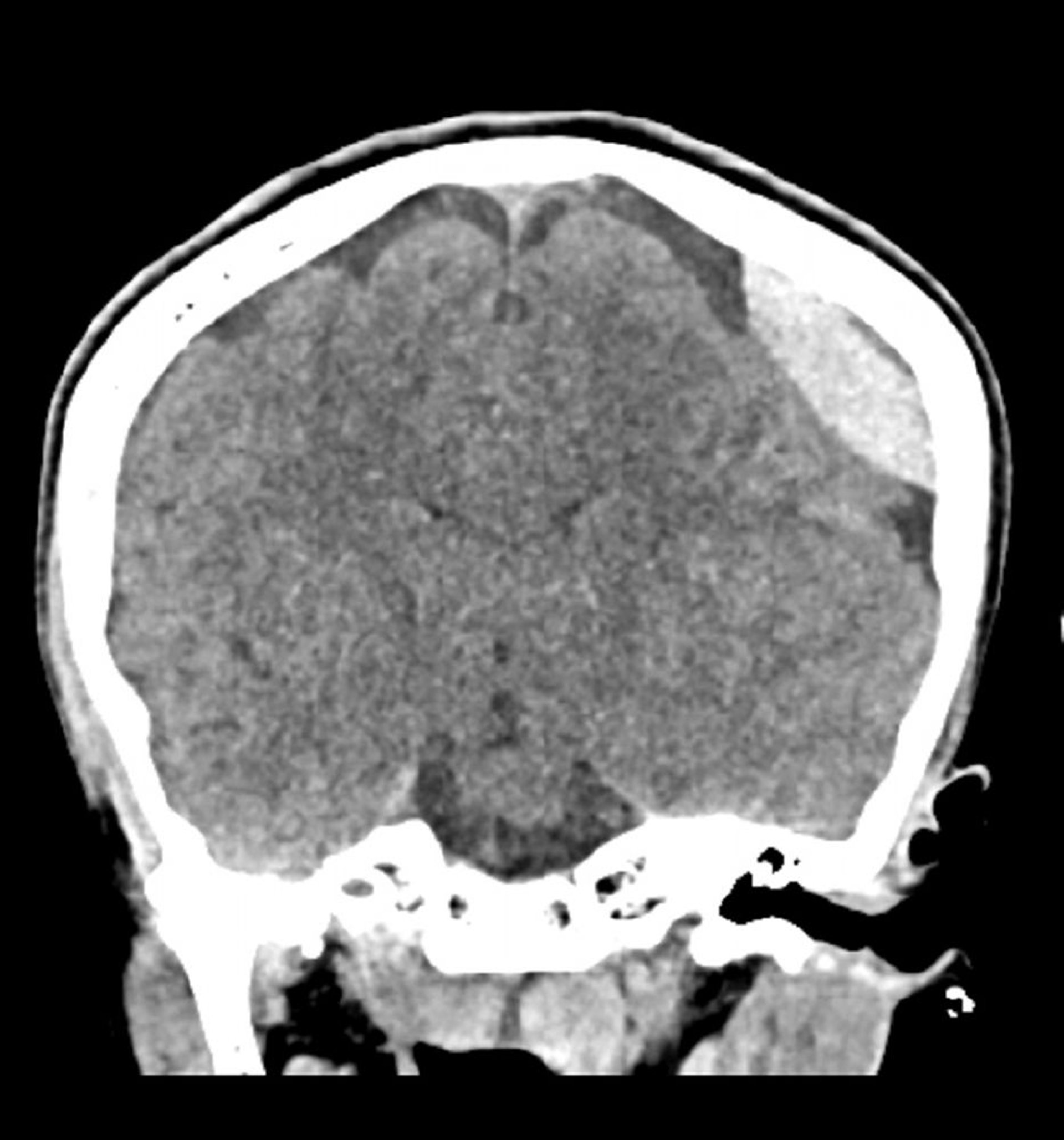
Hemorragia epidural (TC coronal)
Hiperdensidade lentiforme clássica (em forma de lente) que não ultrapassam as linhas de sutura.
© 2017 Elliot K. Fishman, MD.
Hiperdensidade lentiforme clássica (em forma de lente) que não ultrapassam as linhas de sutura.
© 2017 Elliot K. Fishman, MD.