Hemorragia da câmara anterior (hifema)
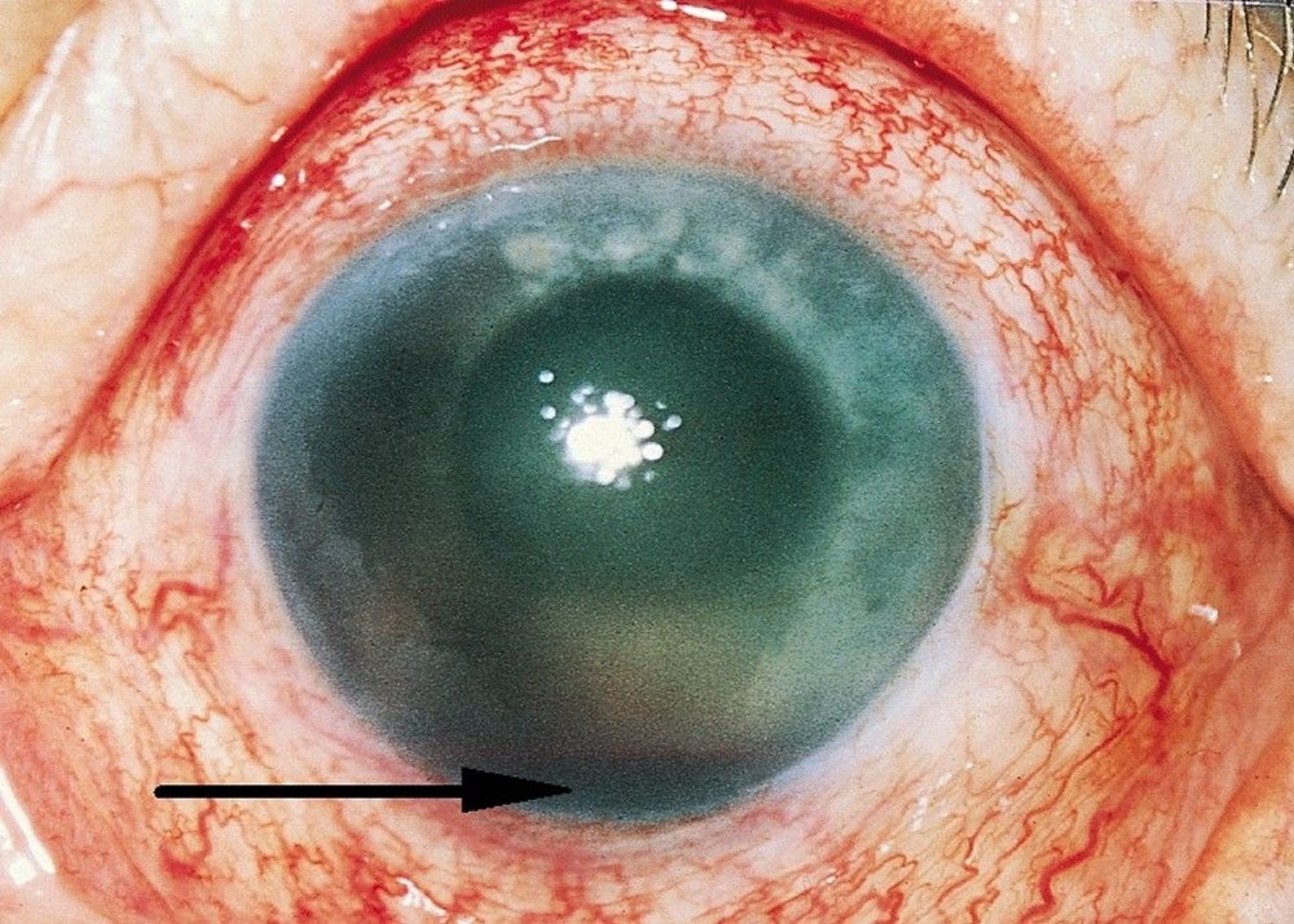
Esse paciente apresenta hifema traumático (seta) e injeção conjuntival após uma lesão traumática no olho.
© Springer Science+Business Media
Nesses tópicos
Esse paciente apresenta hifema traumático (seta) e injeção conjuntival após uma lesão traumática no olho.
© Springer Science+Business Media