Hematoma subdural
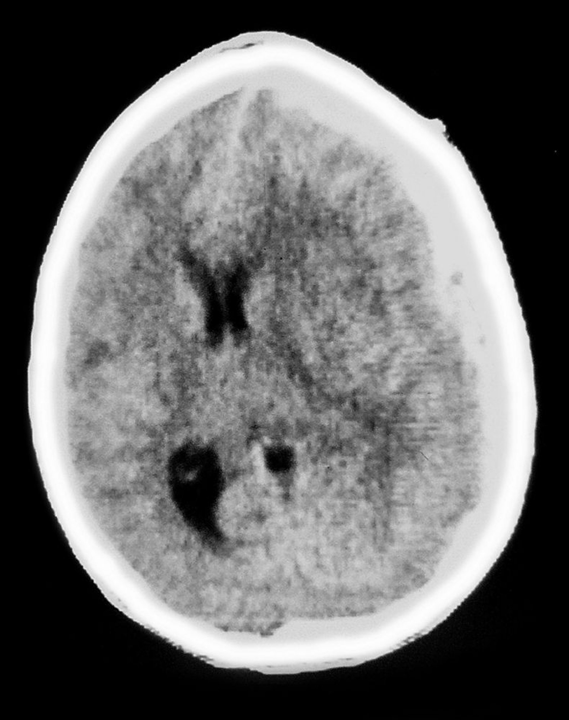
Essa CT mostra opacidade em forma de lua crescente recobrindo o tecido cerebral, característica de hematoma subdural. Há também efeito de massa, com compressão ventricular e desvio da linha média.
Cavallini James/BSIP/SCIENCE PHOTO LIBRARY
Nesses tópicos
