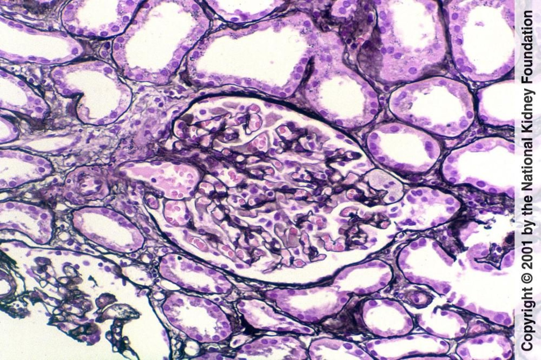
Glomerulosclerose segmentar e focal (lesão da ponta)
A lesão da ponta é a esclerose segmentar localizada no polo glomerular onde o túbulo se origina. Pode ser um marcador de melhor prognóstico (coloração prata de Jones, × 200).
Image provided by Agnes Fogo, MD, and the American Journal of Kidney Diseases' Atlas of Renal Pathology (see www.ajkd.org).
Nesses tópicos
