Glomerulopatia fibrilar (proliferação mesangial)

Glomerulopatia fibrilar (proliferação mesangial)

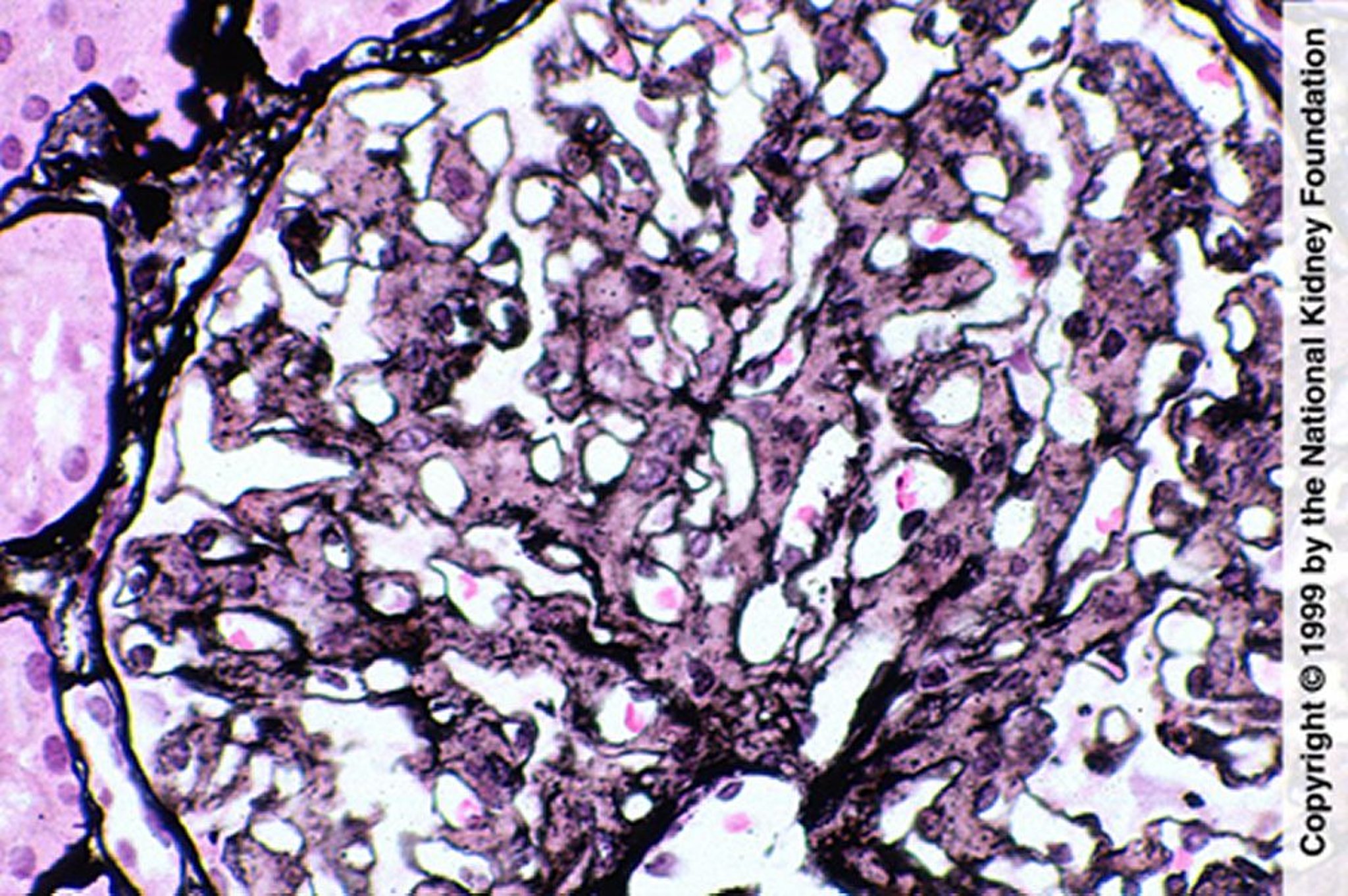
A proliferação mesangial é sugestiva de glomerulopatia fibrilar; mas o diagnóstico requer coloração negativa com vermelho do Congo, imunofluorescência para IgG e demonstração de fibrilas na microscopia eletrônica (coloração prata de Jones, × 400).

Image provided by Agnes Fogo, MD, and the American Journal of Kidney Diseases' Atlas of Renal Pathology (see www.ajkd.org).